Estrogen Receptor alpha antibody [HL1081]

Cat. No. GTX636202
Cat. No.  GTX636202
Anti-Estrogen Receptor alpha antibody [HL1081] used in Western Blot (WB). GTX636202
GTX636202 WB Image

Various whole cell extracts (30 μg) were separated by 7.5% SDS-PAGE, and the membranes were blotted with Estrogen Receptor alpha antibody [HL1081] (GTX636202) diluted at 1:1000 and competitor's antibody (Competitor) diluted at 1:100. The HRP-conjugated anti-rabbit IgG antibody (GTX213110-01) was used to detect the primary antibody, and the signal was developed with Trident ECL plus-Enhanced.

*The competitor is not affiliated with GeneTex and does not endorse this product.

1 / 6
Anti-Estrogen Receptor alpha antibody [HL1081] used in Immunocytochemistry/ Immunofluorescence (ICC/IF). GTX636202
GTX636202 ICC/IF Image

Estrogen Receptor alpha antibody [HL1081] detects Estrogen Receptor alpha protein at nucleus by immunofluorescent analysis.
Sample: MCF-7 cells were fixed in 4% paraformaldehyde at RT for 15 min.
Green: Estrogen Receptor alpha stained by Estrogen Receptor alpha antibody [HL1081] (GTX636202) diluted at 1:500.
Blue: Fluoroshield with DAPI (GTX30920).

2 / 6
Anti-Estrogen Receptor alpha antibody [HL1081] used in IHC (Paraffin sections) (IHC-P). GTX636202
GTX636202 IHC-P Image

Estrogen Receptor alpha antibody [HL1081] detects Estrogen Receptor alpha protein at nucleus by immunohistochemical analysis.
Sample: Paraffin-embedded human breast carcinoma.
Estrogen Receptor alpha stained by Estrogen Receptor alpha antibody [HL1081] (GTX636202) diluted at 1:100.
Antigen Retrieval: Citrate buffer, pH 6.0, 15 min

3 / 6
Anti-Estrogen Receptor alpha antibody [HL1081] used in Western Blot (WB). GTX636202
GTX636202 WB Image

Various whole cell extracts (30 μg) were separated by 7.5% SDS-PAGE, and the membrane was blotted with Estrogen Receptor alpha antibody [HL1081] (GTX636202) diluted at 1:1000. The HRP-conjugated anti-rabbit IgG antibody (GTX213110-01) was used to detect the primary antibody.

4 / 6
Anti-Estrogen Receptor alpha antibody [HL1081] used in Western Blot (WB). GTX636202
GTX636202 WB Image

Non-transfected (–) and transfected (+) 293T whole cell extracts (30 μg) were separated by 7.5% SDS-PAGE, and the membrane was blotted with Estrogen Receptor alpha antibody [HL1081] (GTX636202) diluted at 1:5000. The HRP-conjugated anti-rabbit IgG antibody (GTX213110-01) was used to detect the primary antibody.

5 / 6
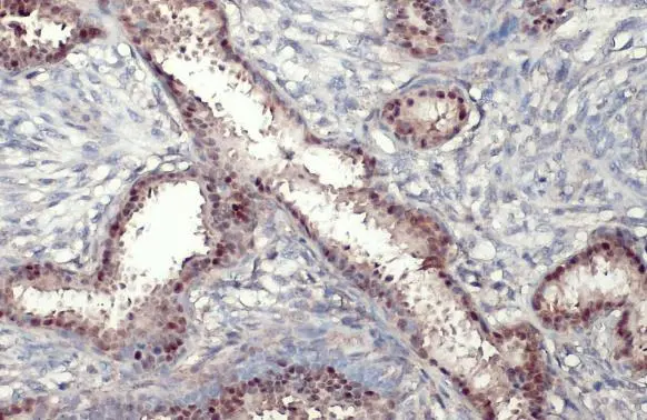
Anti-Estrogen Receptor alpha antibody [HL1081] used in IHC (Paraffin sections) (IHC-P). GTX636202
GTX636202 IHC-P Image

Estrogen Receptor alpha antibody [HL1081] detects Estrogen Receptor alpha protein at cytoplasm by immunohistochemical analysis.
Sample: Paraffin-embedded dog mammary gland.
Estrogen Receptor alpha stained by Estrogen Receptor alpha antibody [HL1081] (GTX636202) diluted at 1:100.
Antigen Retrieval: Citrate buffer, pH 6.0, 15 min

6 / 6
Anti-Estrogen Receptor alpha antibody [HL1081] used in Western Blot (WB). GTX636202
Anti-Estrogen Receptor alpha antibody [HL1081] used in Immunocytochemistry/ Immunofluorescence (ICC/IF). GTX636202
Anti-Estrogen Receptor alpha antibody [HL1081] used in IHC (Paraffin sections) (IHC-P). GTX636202
Anti-Estrogen Receptor alpha antibody [HL1081] used in Western Blot (WB). GTX636202
Anti-Estrogen Receptor alpha antibody [HL1081] used in Western Blot (WB). GTX636202
Anti-Estrogen Receptor alpha antibody [HL1081] used in IHC (Paraffin sections) (IHC-P). GTX636202
  • Host
    Rabbit
  • Clonality
    Monoclonal
  • Clone Name
    HL1081
  • Isotype
    IgG
  • Applications
    WB ICC/IF IHC-P
  • Reactivity
    Human, Dog
See all Estrogen Receptor alpha products