Estrogen Receptor alpha (phospho Ser104) antibody

Cat. No. GTX79081
Cat. No.  GTX79081
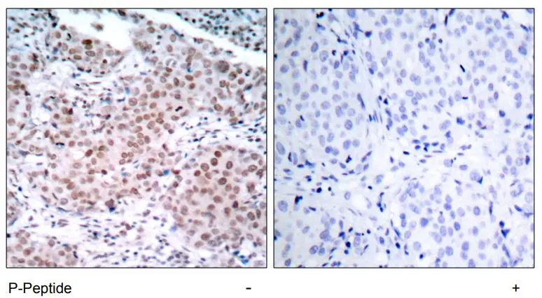
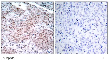
Anti-Estrogen Receptor alpha (phospho Ser104) antibody used in IHC (Paraffin sections) (IHC-P). GTX79081
GTX79081 IHC-P Image

IHC-P analysis of human breast carcinoma tissue using GTX79081 Estrogen Receptor alpha (phospho Ser104) antibody.

1 / 1
Anti-Estrogen Receptor alpha (phospho Ser104) antibody used in IHC (Paraffin sections) (IHC-P). GTX79081
  • Host
    Rabbit
  • Clonality
    Polyclonal
  • Isotype
    IgG
  • Applications
    IHC-P
  • Reactivity
    Human
See all Estrogen Receptor alpha products