F4/80 antibody [HL4141]

Cat. No. GTX642946
Cat. No.  GTX642946
Anti-F4/80 antibody [HL4141] used in Western Blot (WB). GTX642946
GTX642946 WB Image

Unboiled various tissue extracts (50 μg) were separated by 7.5% SDS-PAGE, and the membranes were blotted with F4/80 antibody [HL4141] (GTX642946) diluted at 1:1000 and competitor's antibody diluted at 1:1000. The HRP-conjugated anti-rabbit IgG antibody (GTX213110-01) was used to detect the primary antibody.

*The competitor is not affiliated with GeneTex and does not endorse this product.

1 / 5
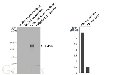
Anti-F4/80 antibody [HL4141] used in Western Blot (WB). GTX642946
GTX642946 WB Image

Boiled and unboiled various tissue extracts (50 μg) were separated by 7.5% SDS-PAGE, and the membrane was blotted with F4/80 antibody [HL4141] (GTX642946) diluted at 1:1000. The HRP-conjugated anti-rabbit IgG antibody (GTX213110-01) was used to detect the primary antibody. Corresponding RNA expression data are based on NCBI database.

2 / 5
Anti-F4/80 antibody [HL4141] used in Immunocytochemistry/ Immunofluorescence (ICC/IF). GTX642946
GTX642946 ICC/IF Image

F4/80 antibody [HL4141] detects F4/80 protein by immunofluorescent analysis.
Sample: Mock and transfected 293T cells were fixed in ice-cold MeOH for 5 min.
Green: F4/80 stained by F4/80 antibody [HL4141] (GTX642946) diluted at 1:500.
Blue: Fluoroshield with DAPI (GTX30920).

3 / 5
Anti-F4/80 antibody [HL4141] used in Immunocytochemistry/ Immunofluorescence (ICC/IF). GTX642946
GTX642946 ICC/IF Image

F4/80 antibody [HL4141] detects F4/80 protein by immunofluorescent analysis.
Sample: Raw264.7 cells were fixed in 4% paraformaldehyde at RT for 15 min.
Green: F4/80 stained by F4/80 antibody [HL4141] (GTX642946) diluted at 1:500.
Red: alpha Tubulin, a cytoskeleton marker, stained by alpha Tubulin antibody [GT114] (GTX628802) diluted at 1:1000.
Blue: Fluoroshield with DAPI (GTX30920).

4 / 5
Anti-F4/80 antibody [HL4141] used in Western Blot (WB). GTX642946
GTX642946 WB Image

Non-transfected (–) and transfected (+) unboiled 293T whole cell extracts (30 μg) were separated by 7.5% SDS-PAGE, and the membrane was blotted with F4/80 antibody [HL4141] (GTX642946) diluted at 1:5000. The HRP-conjugated anti-rabbit IgG antibody (GTX213110-01) was used to detect the primary antibody.

5 / 5
Anti-F4/80 antibody [HL4141] used in Western Blot (WB). GTX642946
Anti-F4/80 antibody [HL4141] used in Western Blot (WB). GTX642946
Anti-F4/80 antibody [HL4141] used in Immunocytochemistry/ Immunofluorescence (ICC/IF). GTX642946
Anti-F4/80 antibody [HL4141] used in Immunocytochemistry/ Immunofluorescence (ICC/IF). GTX642946
Anti-F4/80 antibody [HL4141] used in Western Blot (WB). GTX642946
  • Host
    Rabbit
  • Clonality
    Monoclonal
  • Clone Name
    HL4141
  • Isotype
    IgG
  • Applications
    WB ICC/IF
  • Reactivity
    Human, Mouse
See all F4/80 products