F4/80 antibody [HL4142]

Cat. No. GTX642947
Cat. No.  GTX642947
Anti-F4/80 antibody [HL4142] used in Immunocytochemistry/ Immunofluorescence (ICC/IF). GTX642947
GTX642947 ICC/IF Image

F4/80 antibody [HL4142] detects F4/80 protein by immunofluorescent analysis.
Sample: Mock and transfected 293T cells were fixed in 4% paraformaldehyde at RT for 15 min.
Green: F4/80 stained by F4/80 antibody [HL4142] (GTX642947) diluted at 1:500.
Blue: Fluoroshield with DAPI (GTX30920).

1 / 4
Anti-F4/80 antibody [HL4142] used in IHC (Paraffin sections) (IHC-P). GTX642947
GTX642947 IHC-P Image

F4/80 antibody [HL4142] detects F4/80 protein by immunohistochemical analysis.
Sample: Paraffin-embedded mouse hippocampus.
Green: F4/80 stained by F4/80 antibody [HL4142] (GTX642947) diluted at 1:250.
Red: beta Tubulin 3/ Tuj1 antibody [GT11710] (GTX631836) diluted at 1:500.
Blue: Fluoroshield with DAPI (GTX30920).
Antigen Retrieval: Citrate buffer, pH 6.0, 15 min

2 / 4
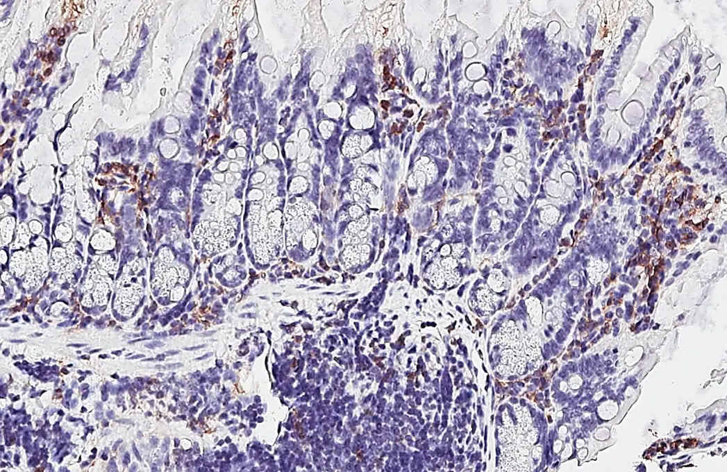
Anti-F4/80 antibody [HL4142] used in IHC (Paraffin sections) (IHC-P). GTX642947
GTX642947 IHC-P Image

F4/80 antibody [HL4142] detects F4/80 protein by immunohistochemical analysis.
Sample: Paraffin-embedded mouse colon.
F4/80 stained by F4/80 antibody [HL4142] (GTX642947) diluted at 1:100.
Antigen Retrieval: Citrate buffer, pH 6.0, 15 min

3 / 4
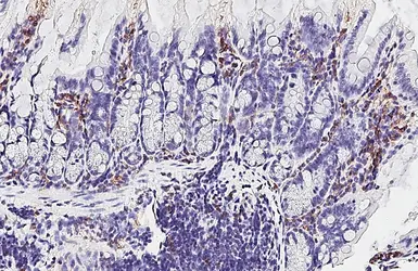
Anti-F4/80 antibody [HL4142] used in IHC (Paraffin sections) (IHC-P). GTX642947
GTX642947 IHC-P Image

F4/80 antibody [HL4142] detects F4/80 protein by immunohistochemical analysis.
Sample: Paraffin-embedded mouse tissues.
F4/80 stained by F4/80 antibody [HL4142] (GTX642947) diluted at 1:100.
Antigen Retrieval: Citrate buffer, pH 6.0, 15 min

4 / 4
Anti-F4/80 antibody [HL4142] used in Immunocytochemistry/ Immunofluorescence (ICC/IF). GTX642947
Anti-F4/80 antibody [HL4142] used in IHC (Paraffin sections) (IHC-P). GTX642947
Anti-F4/80 antibody [HL4142] used in IHC (Paraffin sections) (IHC-P). GTX642947
Anti-F4/80 antibody [HL4142] used in IHC (Paraffin sections) (IHC-P). GTX642947
  • Host
    Rabbit
  • Clonality
    Monoclonal
  • Clone Name
    HL4142
  • Isotype
    IgG
  • Applications
    ICC/IF IHC-P
  • Reactivity
    Human, Mouse
See all F4/80 products