FABP5 antibody

Cat. No. GTX11725
Cat. No.  GTX11725
Anti-FABP5 antibody used in Western Blot (WB). GTX11725
GTX11725 WB Image

WB analysis of various samples using GTX11725 FABP5 antibody.
Lane 1 : HeLa whole cell lysate at 40ug
Lane 2 : HepG2 whole cell lysate at 40ug
Dilution : 0.5 μg/mL

1 / 2
Anti-FABP5 antibody used in IHC (Paraffin sections) (IHC-P). GTX11725
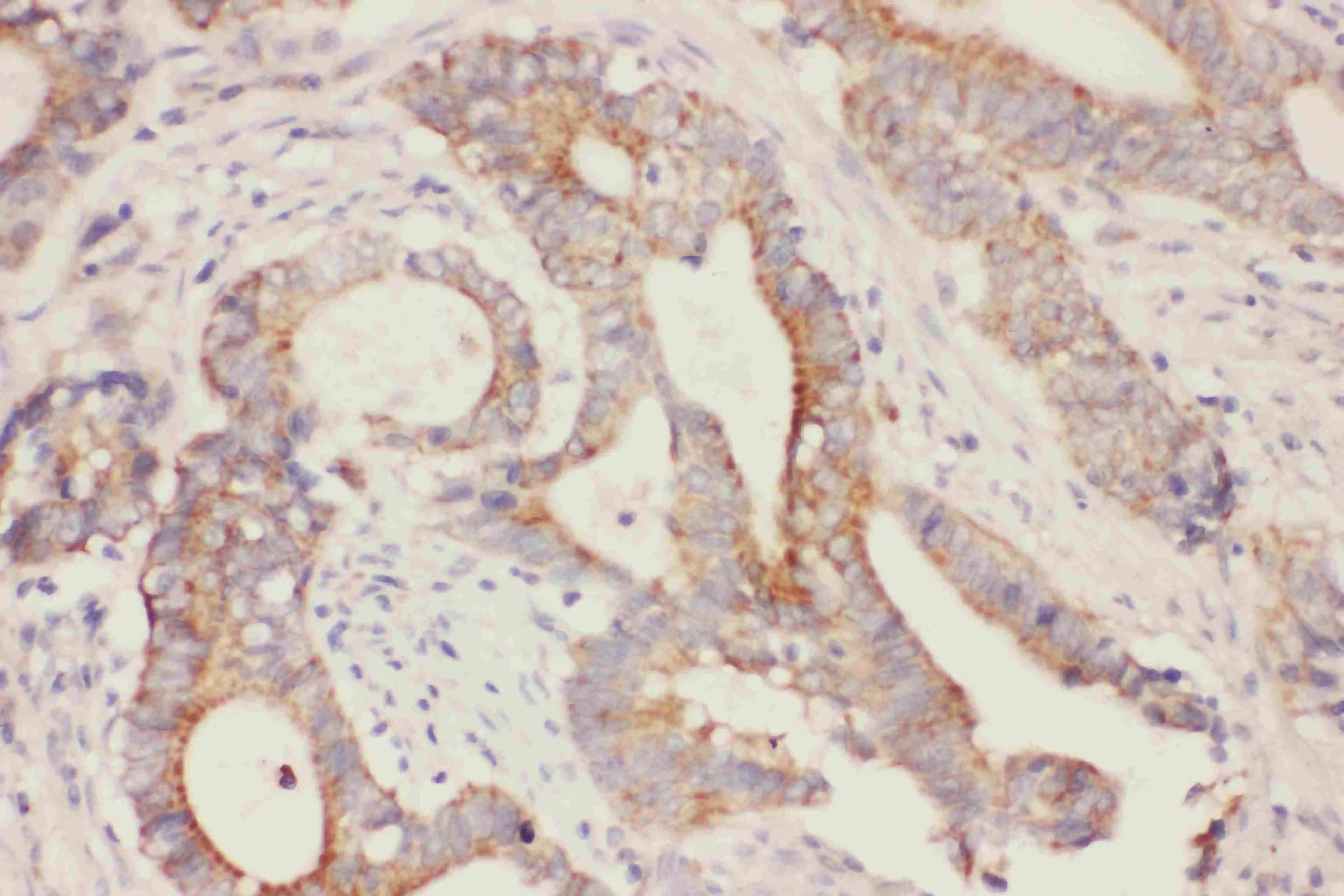
GTX11725 IHC-P Image

IHC-P analysis of human intestinal cancer tissue using GTX11725 FABP5 antibody.

2 / 2
Anti-FABP5 antibody used in Western Blot (WB). GTX11725
Anti-FABP5 antibody used in IHC (Paraffin sections) (IHC-P). GTX11725
  • Host
    Rabbit
  • Clonality
    Polyclonal
  • Isotype
    IgG
  • Applications
    WB IHC-P
  • Reactivity
    Human
See all FABP5 products