FAK antibody

Cat. No. GTX100764
Cat. No.  GTX100764
Anti-FAK antibody used in Western Blot (WB). GTX100764
GTX100764 WB Image

Whole cell extract (30 μg) was separated by 5% SDS-PAGE, and the membrane was blotted with FAK antibody (GTX100764) diluted at 1:1000. The HRP-conjugated anti-rabbit IgG antibody (GTX213110-01) was used to detect the primary antibody, and the signal was developed with Trident ECL plus-Enhanced.

1 / 6
Anti-FAK antibody used in Western Blot (WB). GTX100764
GTX100764 WB Image

Various whole cell extracts (30 μg) were separated by 5% SDS-PAGE, and the membrane was blotted with FAK antibody (GTX100764) diluted at 1:1000. The HRP-conjugated anti-rabbit IgG antibody (GTX213110-01) was used to detect the primary antibody.

2 / 6
Anti-FAK antibody used in Western Blot (WB). GTX100764
GTX100764 WB Image

Various whole cell extracts (30 μg) were separated by 5% SDS-PAGE, and the membrane was blotted with FAK antibody (GTX100764) diluted at 1:2000. The HRP-conjugated anti-rabbit IgG antibody (GTX213110-01) was used to detect the primary antibody.

3 / 6
Anti-FAK antibody used in IHC (Paraffin sections) (IHC-P). GTX100764
GTX100764 IHC-P Image

FAK antibody detects FAK protein at cytoplasm by immunohistochemical analysis.
Sample: Paraffin-embedded mouse brain.
FAK stained by FAK antibody (GTX100764) diluted at 1:500.
Antigen Retrieval: Citrate buffer, pH 6.0, 15 min

4 / 6
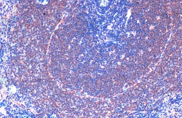
Anti-FAK antibody used in IHC (Paraffin sections) (IHC-P). GTX100764
GTX100764 IHC-P Image

FAK antibody detects FAK protein at cytoplasm by immunohistochemical analysis.
Sample: Paraffin-embedded rat spleen.
FAK stained by FAK antibody (GTX100764) diluted at 1:500.
Antigen Retrieval: Citrate buffer, pH 6.0, 15 min

5 / 6
Anti-FAK antibody used in Western Blot (WB). GTX100764
GTX100764 WB Image

The data was published in the journal Evid Based Complement Alternat Med in 2012.PMID: 23320038

6 / 6
Anti-FAK antibody used in Western Blot (WB). GTX100764
Anti-FAK antibody used in Western Blot (WB). GTX100764
Anti-FAK antibody used in Western Blot (WB). GTX100764
Anti-FAK antibody used in IHC (Paraffin sections) (IHC-P). GTX100764
Anti-FAK antibody used in IHC (Paraffin sections) (IHC-P). GTX100764
Anti-FAK antibody used in Western Blot (WB). GTX100764
  • Host
    Rabbit
  • Clonality
    Polyclonal
  • Isotype
    IgG
  • Applications
    WB ICC/IF IHC-P
  • Reactivity
    Human, Mouse, Rat
See all FAK products