FAK (phospho Tyr576) antibody

Cat. No. GTX132140
Cat. No.  GTX132140
Anti-FAK (phospho Tyr576) antibody used in Western Blot (WB). GTX132140
GTX132140 WB Image

Non-transfected (–) and transfected (+) HeLa whole cell extracts (50 μg) were separated by 7.5% SDS-PAGE, and the membrane was blotted with FAK (phospho Tyr576) antibody (GTX132140) diluted at 1:500.

1 / 10
Anti-FAK (phospho Tyr576) antibody used in Western Blot (WB). GTX132140
GTX132140 WB Image

Whole cell extract (30 μg) was separated by 7.5% SDS-PAGE, and the membrane was blotted with FAK (phospho Tyr576) antibody (GTX132140) diluted at 1:1000. The HRP-conjugated anti-rabbit IgG antibody (GTX213110-01) was used to detect the primary antibody.

2 / 10
Anti-FAK (phospho Tyr576) antibody used in Western Blot (WB). GTX132140
GTX132140 WB Image

FAK (phospho Tyr576) antibody detects FAK (phospho Tyr576) protein by western blot analysis. Left: Untreated (-) and EGF-treated (+, 50 ng/ml for 30 min) 293T whole cell extracts (30 μg) were separated by 7.5% SDS-PAGE. Right: Untreated (-) and EGF-treated (+, 200 ng/ml for 30 min) HepG2 whole cell extracts (30 μg) were separated by 7.5% SDS-PAGE. The membranes were blotted with FAK (phospho Tyr576) antibody (GTX132140) diluted at 1:3000.

3 / 10
Anti-FAK (phospho Tyr576) antibody used in Western Blot (WB). GTX132140
GTX132140 WB Image

Various whole cell extracts (30 μg) were separated by 5% SDS-PAGE, and the membrane was blotted with FAK (phospho Tyr576) antibody (GTX132140) diluted at 1:500. The HRP-conjugated anti-rabbit IgG antibody (GTX213110-01) was used to detect the primary antibody.

4 / 10
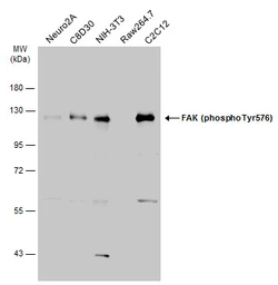
Anti-FAK (phospho Tyr576) antibody used in Western Blot (WB). GTX132140
GTX132140 WB Image

Various whole cell extracts (30 μg) were separated by 7.5% SDS-PAGE, and the membrane was blotted with FAK (phospho Tyr576) antibody (GTX132140) diluted at 1:1000. The HRP-conjugated anti-rabbit IgG antibody (GTX213110-01) was used to detect the primary antibody.

5 / 10
Anti-FAK (phospho Tyr576) antibody used in Immunocytochemistry/ Immunofluorescence (ICC/IF). GTX132140
GTX132140 ICC/IF Image

FAK (phospho Tyr576) antibody detects FAK (phospho Tyr576) protein at cell membrane and nucleus by immunofluorescent analysis.
Sample: SK-N-SH cells were fixed in 4% paraformaldehyde at RT for 15 min.
Green: FAK (phospho Tyr576) protein stained by FAK (phospho Tyr576) antibody (GTX132140) diluted at 1:500.
Blue: Hoechst 33342 staining.
Scale bar = 10 μm.

6 / 10
Anti-FAK (phospho Tyr576) antibody used in IHC (Paraffin sections) (IHC-P). GTX132140
GTX132140 IHC-P Image

FAK (phospho Tyr576) antibody detects FAK (phospho Tyr576) protein at cell membrane by immunohistochemical analysis.
Sample: Paraffin-embedded rat lung.
FAK (phospho Tyr576) stained by FAK (phospho Tyr576) antibody (GTX132140) diluted at 1:500.
Antigen Retrieval: Citrate buffer, pH 6.0, 15 min

7 / 10
Anti-FAK (phospho Tyr576) antibody used in Western Blot (WB). GTX132140
GTX132140 WB Image

Non-transfected (–) and transfected (+) 293T whole cell extracts (30 μg) were separated by 5% SDS-PAGE, and the membrane was blotted with FAK (phospho Tyr576) antibody (GTX132140) diluted at 1:500. The HRP-conjugated anti-rabbit IgG antibody (GTX213110-01) was used to detect the primary antibody.

8 / 10
Anti-FAK (phospho Tyr576) antibody used in Western Blot (WB). GTX132140
GTX132140 WB Image

Untreated (–) and treated (+) HepG2 whole cell extracts (30 μg) were separated by 5% SDS-PAGE, and the membrane was blotted with FAK (phospho Tyr576) antibody (GTX132140) diluted at 1:500. The HRP-conjugated anti-rabbit IgG antibody (GTX213110-01) was used to detect the primary antibody.

9 / 10
Anti-FAK (phospho Tyr576) antibody used in Western Blot (WB). GTX132140
GTX132140 WB Image

Untreated (–) and treated (+) HeLa whole cell extracts (30 μg) were separated by 5% SDS-PAGE, and the membrane was blotted with FAK (phospho Tyr576) antibody (GTX132140) diluted at 1:500. The HRP-conjugated anti-rabbit IgG antibody (GTX213110-01) was used to detect the primary antibody.

10 / 10
Anti-FAK (phospho Tyr576) antibody used in Western Blot (WB). GTX132140
Anti-FAK (phospho Tyr576) antibody used in Western Blot (WB). GTX132140
Anti-FAK (phospho Tyr576) antibody used in Western Blot (WB). GTX132140
Anti-FAK (phospho Tyr576) antibody used in Western Blot (WB). GTX132140
Anti-FAK (phospho Tyr576) antibody used in Western Blot (WB). GTX132140
Anti-FAK (phospho Tyr576) antibody used in Immunocytochemistry/ Immunofluorescence (ICC/IF). GTX132140
Anti-FAK (phospho Tyr576) antibody used in IHC (Paraffin sections) (IHC-P). GTX132140
Anti-FAK (phospho Tyr576) antibody used in Western Blot (WB). GTX132140
Anti-FAK (phospho Tyr576) antibody used in Western Blot (WB). GTX132140
Anti-FAK (phospho Tyr576) antibody used in Western Blot (WB). GTX132140
  • Host
    Rabbit
  • Clonality
    Polyclonal
  • Isotype
    IgG
  • Applications
    WB ICC/IF IHC-P
  • Reactivity
    Human, Mouse, Rat
See all FAK products