FAM174B antibody, N-term

Cat. No. GTX46960
Cat. No.  GTX46960
Anti-FAM174B antibody, N-term used in Western Blot (WB). GTX46960
GTX46960 WB Image

WB analysis of Jurkat cells using GTX46960 FAM174B antibody at 2.5μg/ml.

1 / 2
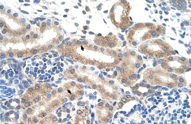
Anti-FAM174B antibody, N-term used in IHC (Paraffin sections) (IHC-P). GTX46960
GTX46960 IHC-P Image

IHC-P analysis of human kidney tissue using GTX46960 FAM174B antibody at 4.0-8.0μg/ml.

2 / 2
Anti-FAM174B antibody, N-term used in Western Blot (WB). GTX46960
Anti-FAM174B antibody, N-term used in IHC (Paraffin sections) (IHC-P). GTX46960
  • Host
    Rabbit
  • Clonality
    Polyclonal
  • Isotype
    IgG
  • Applications
    WB IHC-P
  • Reactivity
    Human
See all FAM174B products