FAM3B antibody

Cat. No. GTX65562
Cat. No.  GTX65562
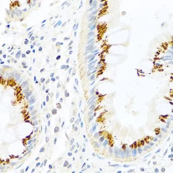
Anti-FAM3B antibody used in IHC (Paraffin sections) (IHC-P). GTX65562
GTX65562 IHC-P Image

IHC-P analysis of human colon carcinoma tissue using GTX65562 FAM3B antibody.
Dilution : 1:100

1 / 4
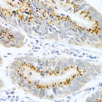
Anti-FAM3B antibody used in IHC (Paraffin sections) (IHC-P). GTX65562
GTX65562 IHC-P Image

IHC-P analysis of human colon tissue using GTX65562 FAM3B antibody.
Dilution : 1:100

2 / 4
Anti-FAM3B antibody used in IHC (Paraffin sections) (IHC-P). GTX65562
GTX65562 IHC-P Image

IHC-P analysis of mouse pancreas tissue using GTX65562 FAM3B antibody.
Blue : DAPI
Dilution : 1:100

3 / 4
Anti-FAM3B antibody used in IHC (Paraffin sections) (IHC-P). GTX65562
GTX65562 IHC-P Image

IHC-P analysis of human stomach tissue using GTX65562 FAM3B antibody.
Dilution : 1:100

4 / 4
Anti-FAM3B antibody used in IHC (Paraffin sections) (IHC-P). GTX65562
Anti-FAM3B antibody used in IHC (Paraffin sections) (IHC-P). GTX65562
Anti-FAM3B antibody used in IHC (Paraffin sections) (IHC-P). GTX65562
Anti-FAM3B antibody used in IHC (Paraffin sections) (IHC-P). GTX65562
  • Host
    Rabbit
  • Clonality
    Polyclonal
  • Isotype
    IgG
  • Applications
    IHC-P
  • Reactivity
    Human, Mouse
See all FAM3B products