FANCD2 (phospho Ser222) antibody

Cat. No. GTX05195
Cat. No.  GTX05195
Anti-FANCD2 (phospho Ser222) antibody used in Western Blot (WB). GTX05195
GTX05195 WB Image

WB analysis of calyculin A treated HT29 whole cell lysate using GTX05195 FANCD2 (phospho Ser222) antibody. The lane on the left was treated with the antigen-specific peptide.

1 / 4
Anti-FANCD2 (phospho Ser222) antibody used in Immunocytochemistry/ Immunofluorescence (ICC/IF). GTX05195
GTX05195 ICC/IF Image

ICC/IF analysis of PFA fixed HeLa cells with LPS (4 hrs) treatment using GTX05195 FANCD2 (phospho-Ser222) antibody.
Red : Primary antibody
Green : beta tubulin
Blue : DAPI
Permeabilization : 0.1% Triton X-100

2 / 4
Anti-FANCD2 (phospho Ser222) antibody used in ELISA (ELISA). GTX05195
GTX05195 ELISA Image

ELISA analysis of phospho- and non phosho- immunogen peptide using serially diluted GTX05195 FANCD2 (phospho-Ser222) antibody.
P-peptide : phospho-peptide
N-peptide : non-phospho-peptide
Peptides concentration : 1 μg/mL

3 / 4
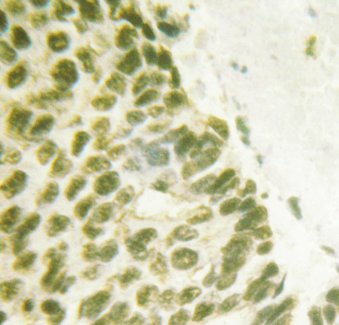
Anti-FANCD2 (phospho Ser222) antibody used in IHC (Paraffin sections) (IHC-P). GTX05195
GTX05195 IHC-P Image

IHC-P analysis of human breast carcinoma tissue using GTX05195 FANCD2 (phospho Ser222) antibody.
Antigen retrieval : Heat mediated antigen retrieval was performed in citrate buffer.
Dilution : 1:100

4 / 4
Anti-FANCD2 (phospho Ser222) antibody used in Western Blot (WB). GTX05195
Anti-FANCD2 (phospho Ser222) antibody used in Immunocytochemistry/ Immunofluorescence (ICC/IF). GTX05195
Anti-FANCD2 (phospho Ser222) antibody used in ELISA (ELISA). GTX05195
Anti-FANCD2 (phospho Ser222) antibody used in IHC (Paraffin sections) (IHC-P). GTX05195
  • Host
    Rabbit
  • Clonality
    Polyclonal
  • Isotype
    IgG
  • Applications
    WB ICC/IF IHC-P ELISA
  • Reactivity
    Human
See all FANCD2 products