FANCJ antibody [N1N2], N-term

Cat. No. GTX100072
Cat. No.  GTX100072
Anti-FANCJ antibody [N1N2], N-term used in Western Blot (WB). GTX100072
GTX100072 WB Image

Various whole cell extracts (30 μg) were separated by 5% SDS-PAGE, and the membrane was blotted with FANCJ antibody [N1N2], N-term (GTX100072) diluted at 1:1000. The HRP-conjugated anti-rabbit IgG antibody (GTX213110-01) was used to detect the primary antibody.

1 / 4
Anti-FANCJ antibody [N1N2], N-term used in Immunocytochemistry/ Immunofluorescence (ICC/IF). GTX100072
GTX100072 ICC/IF Image

FANCJ antibody [N1N2], N-term detects BRIP1 protein at cytoplasm by immunofluorescent analysis.
Sample: 293T cells were fixed in 2% paraformaldehyde/culture medium at 37ºC for 30 min.
Green: BRIP1 protein stained by FANCJ antibody [N1N2], N-term (GTX100072) diluted at 1:500.
Blue: Hoechst 33343 staining.

2 / 4
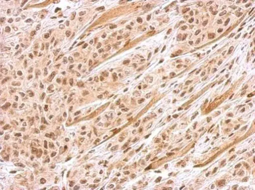
Anti-FANCJ antibody [N1N2], N-term used in IHC (Paraffin sections) (IHC-P). GTX100072
GTX100072 IHC-P Image

FANCJ antibody [N1N2], N-term detects BRIP1 protein at nucleus on SAS xenograft by immunohistochemical analysis.
Sample: Paraffin-embedded SAS xenograft.
FANCJ antibody [N1N2], N-term (GTX100072) dilution: 1:500.

Antigen Retrieval: Trilogy™ (EDTA based, pH 8.0) buffer, 15min

3 / 4
Anti-FANCJ antibody [N1N2], N-term used in Western Blot (WB). GTX100072
GTX100072 WB Image

Whole cell extract (30 μg) was separated by 5% SDS-PAGE, and the membrane was blotted with FANCJ antibody [N1N2], N-term (GTX100072) diluted at 1:1000. The HRP-conjugated anti-rabbit IgG antibody (GTX213110-01) was used to detect the primary antibody, and the signal was developed with Trident ECL plus-Enhanced.

4 / 4
Anti-FANCJ antibody [N1N2], N-term used in Western Blot (WB). GTX100072
Anti-FANCJ antibody [N1N2], N-term used in Immunocytochemistry/ Immunofluorescence (ICC/IF). GTX100072
Anti-FANCJ antibody [N1N2], N-term used in IHC (Paraffin sections) (IHC-P). GTX100072
Anti-FANCJ antibody [N1N2], N-term used in Western Blot (WB). GTX100072
  • Host
    Rabbit
  • Clonality
    Polyclonal
  • Isotype
    IgG
  • Applications
    WB ICC/IF IHC-P
  • Reactivity
    Human
See all FANCJ products