FER antibody

Cat. No. GTX12150
Cat. No.  GTX12150
Anti-FER antibody used in Western Blot (WB). GTX12150
GTX12150 WB Image

WB analysis of various samples using GTX12150 FER antibody.
Lane 1 : HeLa whole cell lysate at 40ug
Lane 2 : rat testis tissue lysate at 50ug
Lane 3 : rat ovary tissue lysate at 50ug
Dilution : 0.5 μg/mL

1 / 3
Anti-FER antibody used in IHC (Paraffin sections) (IHC-P). GTX12150
GTX12150 IHC-P Image

IHC-P analysis of rat intestine tissue using GTX12150 FER antibody.

2 / 3
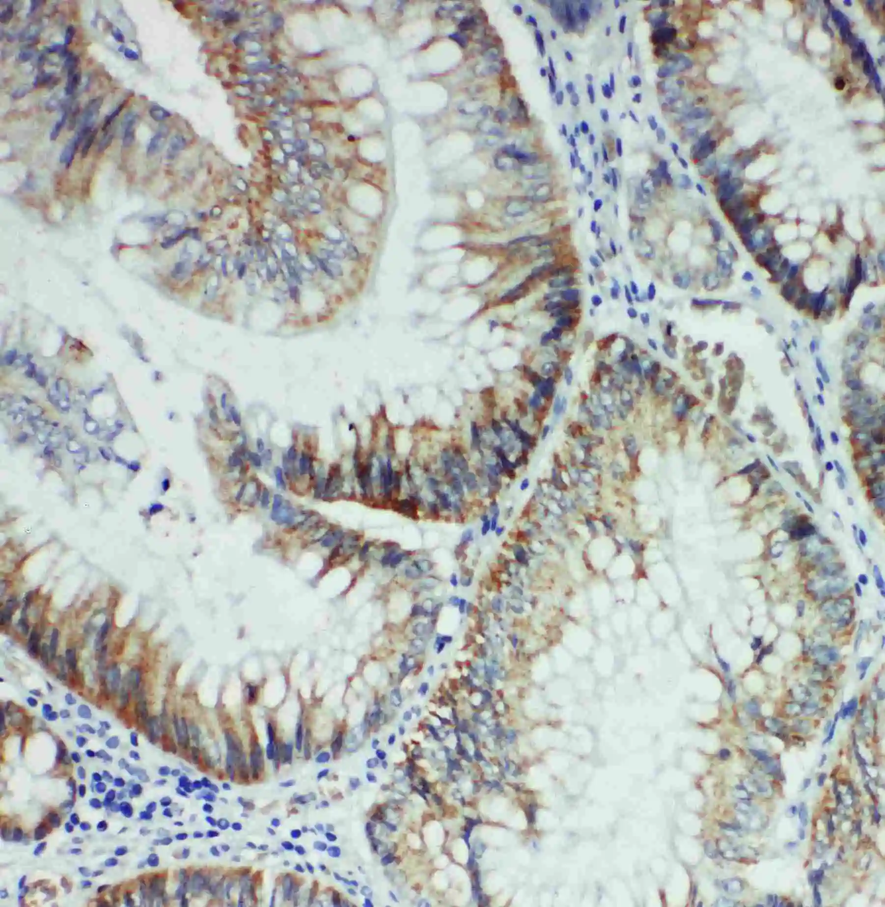
Anti-FER antibody used in IHC (Paraffin sections) (IHC-P). GTX12150
GTX12150 IHC-P Image

IHC-P analysis of human intestinal cancer tissue using GTX12150 FER antibody.

3 / 3
Anti-FER antibody used in Western Blot (WB). GTX12150
Anti-FER antibody used in IHC (Paraffin sections) (IHC-P). GTX12150
Anti-FER antibody used in IHC (Paraffin sections) (IHC-P). GTX12150
  • Host
    Rabbit
  • Clonality
    Polyclonal
  • Isotype
    IgG
  • Applications
    WB IHC-P
  • Reactivity
    Human, Rat
See all FER products