FGF10 antibody

Cat. No. GTX55619
Cat. No.  GTX55619
Anti-FGF10 antibody used in Western Blot (WB). GTX55619
GTX55619 WB Image

WB analysis of mouse stomach tissue lysate using GTX55619 FGF10 antibody. The signal was developed with ECL plus-Enhanced.
Dilution : 1:1000
Loading : 25μg per lane

1 / 3
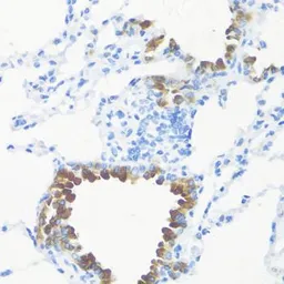
Anti-FGF10 antibody used in IHC (Paraffin sections) (IHC-P). GTX55619
GTX55619 IHC-P Image

IHC-P analysis of mouse lung tissue using GTX55619 FGF10 antibody.
Dilution : 1:100

2 / 3
Anti-FGF10 antibody used in IHC (Paraffin sections) (IHC-P). GTX55619
GTX55619 IHC-P Image

IHC-P analysis of mouse kidney tissue using GTX55619 FGF10 antibody.
Dilution : 1:100

3 / 3
Anti-FGF10 antibody used in Western Blot (WB). GTX55619
Anti-FGF10 antibody used in IHC (Paraffin sections) (IHC-P). GTX55619
Anti-FGF10 antibody used in IHC (Paraffin sections) (IHC-P). GTX55619
  • Host
    Rabbit
  • Clonality
    Polyclonal
  • Isotype
    IgG
  • Applications
    WB IHC-P
  • Reactivity
    Mouse
See all FGF10 products