FGF2 antibody

Cat. No. GTX17476
Cat. No.  GTX17476
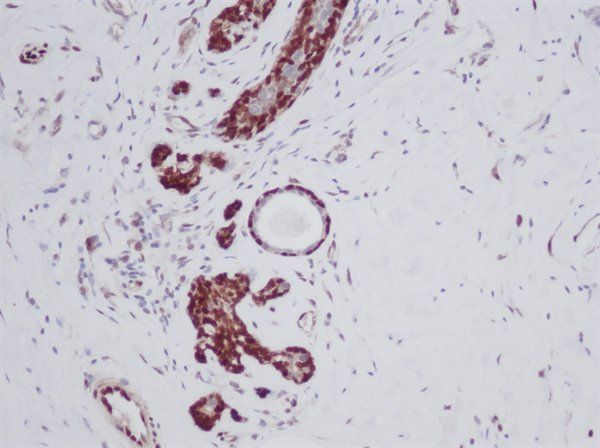
Anti-FGF2 antibody used in IHC (Paraffin sections) (IHC-P). GTX17476
GTX17476 IHC-P Image

Staining of formalin fixed, paraffin embedded human breast invasive ductal carcinoma with Rabbit anti Human FGF-basic.

1 / 2
Anti-FGF2 antibody used in IHC (Paraffin sections) (IHC-P). GTX17476
GTX17476 IHC-P Image

Staining of formalin fixed, paraffin embedded human breast invasive ductal carcinoma with Rabbit anti Human FGF-basic.

2 / 2
Anti-FGF2 antibody used in IHC (Paraffin sections) (IHC-P). GTX17476
Anti-FGF2 antibody used in IHC (Paraffin sections) (IHC-P). GTX17476
  • Host
    Rabbit
  • Clonality
    Polyclonal
  • Isotype
    IgG
  • Applications
    WB IHC-P ELISA Functional Assay
  • Reactivity
    Human
See all FGF2 products