FGFR1 antibody [ARC53424]

Cat. No. GTX05044
Cat. No.  GTX05044
Anti-FGFR1 antibody [ARC53424] used in Western Blot (WB). GTX05044
GTX05044 WB Image

WB analysis of U-251MG whole cell lysate using GTX05044 FGFR1 antibody [ARC53424].
Dilution : 1:10000
Loading : 25μg

1 / 9
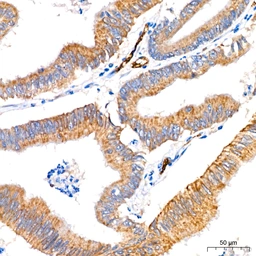
Anti-FGFR1 antibody [ARC53424] used in IHC (Paraffin sections) (IHC-P). GTX05044
GTX05044 IHC-P Image

IHC-P analysis of human colon carcinoma tissue using GTX05044 FGFR1 antibody [ARC53424].
Antigen retrieval : High pressure antigen retrieval performed with 0.01M citrate buffer (pH6.0)
Dilution : 1:200

2 / 9
Anti-FGFR1 antibody [ARC53424] used in Western Blot (WB). GTX05044
GTX05044 WB Image

WB analysis of various samples using GTX05044 FGFR1 antibody [ARC53424].
Dilution : 1:10000
Loading : 25μg

3 / 9
Anti-FGFR1 antibody [ARC53424] used in Immunocytochemistry/ Immunofluorescence (ICC/IF). GTX05044
GTX05044 ICC/IF Image

ICC/IF analysis of HeLa cells using GTX05044 FGFR1 antibody [ARC53424].
Orange : Primary antibody
Green: α-tubulin
Blue : DAPI
Dilution : 1:200

4 / 9
Anti-FGFR1 antibody [ARC53424] used in IHC (Paraffin sections) (IHC-P). GTX05044
GTX05044 IHC-P Image

IHC-P analysis of rat spleen tissue using GTX05044 FGFR1 antibody [ARC53424].
Antigen retrieval : High pressure antigen retrieval performed with 0.01M citrate buffer (pH6.0)
Dilution : 1:200

5 / 9
Anti-FGFR1 antibody [ARC53424] used in IHC (Paraffin sections) (IHC-P). GTX05044
GTX05044 IHC-P Image

IHC-P analysis of human tonsil tissue using GTX05044 FGFR1 antibody [ARC53424].
Antigen retrieval : High pressure antigen retrieval performed with 0.01M citrate buffer (pH6.0)
Dilution : 1:200

6 / 9
Anti-FGFR1 antibody [ARC53424] used in IHC (Paraffin sections) (IHC-P). GTX05044
GTX05044 IHC-P Image

IHC-P analysis of human liver cancer tissue using GTX05044 FGFR1 antibody [ARC53424].
Antigen retrieval : High pressure antigen retrieval performed with 0.01M citrate buffer (pH6.0)
Dilution : 1:200

7 / 9
Anti-FGFR1 antibody [ARC53424] used in IHC (Paraffin sections) (IHC-P). GTX05044
GTX05044 IHC-P Image

IHC-P analysis of mouse kidney tissue using GTX05044 FGFR1 antibody [ARC53424].
Antigen retrieval : High pressure antigen retrieval performed with 0.01M citrate buffer (pH6.0)
Dilution : 1:200

8 / 9
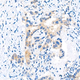
Anti-FGFR1 antibody [ARC53424] used in IHC (Paraffin sections) (IHC-P). GTX05044
GTX05044 IHC-P Image

IHC-P analysis of human breast cancer tissue using GTX05044 FGFR1 antibody [ARC53424].
Antigen retrieval : High pressure antigen retrieval performed with 0.01M citrate buffer (pH6.0)
Dilution : 1:200

9 / 9
Anti-FGFR1 antibody [ARC53424] used in Western Blot (WB). GTX05044
Anti-FGFR1 antibody [ARC53424] used in IHC (Paraffin sections) (IHC-P). GTX05044
Anti-FGFR1 antibody [ARC53424] used in Western Blot (WB). GTX05044
Anti-FGFR1 antibody [ARC53424] used in Immunocytochemistry/ Immunofluorescence (ICC/IF). GTX05044
Anti-FGFR1 antibody [ARC53424] used in IHC (Paraffin sections) (IHC-P). GTX05044
Anti-FGFR1 antibody [ARC53424] used in IHC (Paraffin sections) (IHC-P). GTX05044
Anti-FGFR1 antibody [ARC53424] used in IHC (Paraffin sections) (IHC-P). GTX05044
Anti-FGFR1 antibody [ARC53424] used in IHC (Paraffin sections) (IHC-P). GTX05044
Anti-FGFR1 antibody [ARC53424] used in IHC (Paraffin sections) (IHC-P). GTX05044
  • Host
    Rabbit
  • Clonality
    Monoclonal
  • Clone Name
    ARC53424
  • Isotype
    IgG
  • Applications
    WB ICC/IF IHC-P
  • Reactivity
    Human, Mouse, Rat
See all FGFR1 products