FHL1 antibody [3G7]

Cat. No. GTX84494
Cat. No.  GTX84494
Anti-FHL1 antibody [3G7] used in Flow cytometry (FCM). GTX84494
GTX84494 FCM Image

FACS analysis of HeLa cells using GTX84494 FHL1 antibody [3G7].
Red : Primary antibody
Blue : Negative control antibody

1 / 5
Anti-FHL1 antibody [3G7] used in Flow cytometry (FCM). GTX84494
GTX84494 FCM Image

FACS analysis of Jurkat cells using GTX84494 FHL1 antibody [3G7].
Red : Primary antibody
Blue : Negative control antibody

2 / 5
Anti-FHL1 antibody [3G7] used in Immunocytochemistry/ Immunofluorescence (ICC/IF). GTX84494
GTX84494 ICC/IF Image

ICC/IF analysis of COS7 cells transiently transfected with FHL1 plasmid using GTX84494 FHL1 antibody [3G7].

3 / 5
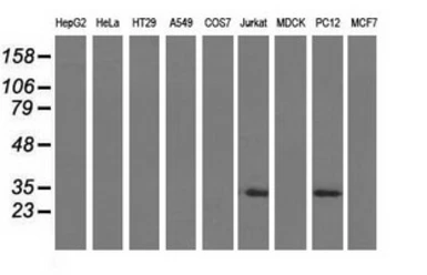
Anti-FHL1 antibody [3G7] used in Western Blot (WB). GTX84494
GTX84494 WB Image

WB analysis of various cell lines using GTX84494 FHL1 antibody [3G7].
Loading : 35 ug per lane

4 / 5
Anti-FHL1 antibody [3G7] used in Western Blot (WB). GTX84494
GTX84494 WB Image

WB analysis of HEK293T cells transfected with FHL1 plasmid (Right) or empty vector (Left) for 48 hrs using GTX84494 FHL1 antibody [3G7].
Loading : 5 ug per lane

5 / 5
Anti-FHL1 antibody [3G7] used in Flow cytometry (FCM). GTX84494
Anti-FHL1 antibody [3G7] used in Flow cytometry (FCM). GTX84494
Anti-FHL1 antibody [3G7] used in Immunocytochemistry/ Immunofluorescence (ICC/IF). GTX84494
Anti-FHL1 antibody [3G7] used in Western Blot (WB). GTX84494
Anti-FHL1 antibody [3G7] used in Western Blot (WB). GTX84494
  • Host
    Mouse
  • Clonality
    Monoclonal
  • Clone Name
    3G7
  • Isotype
    IgG2b
  • Applications
    WB ICC/IF FCM
  • Reactivity
    Human, Rat
See all FHL1 products