FLIP antibody [6G11A6]

Cat. No. GTX60787
Cat. No.  GTX60787
Anti-FLIP antibody [6G11A6] used in Western Blot (WB). GTX60787
GTX60787 WB Image

WB analysis of human FLIP recombinant protein using GTX60787 FLIP antibody [6G11A6].

1 / 4
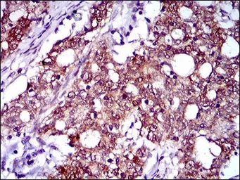
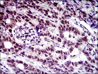
Anti-FLIP antibody [6G11A6] used in IHC (Paraffin sections) (IHC-P). GTX60787
GTX60787 IHC-P Image

IHC-P analysis of cervical cancer tissue using GTX60787 FLIP antibody [6G11A6].

2 / 4
Anti-FLIP antibody [6G11A6] used in IHC (Paraffin sections) (IHC-P). GTX60787
GTX60787 IHC-P Image

IHC-P analysis of esophageal cancer tissue using GTX60787 FLIP antibody [6G11A6].

3 / 4
Anti-FLIP antibody [6G11A6] used in ELISA (ELISA). GTX60787
GTX60787 ELISA Image

ELISA analysis of antigen using GTX60787 FLIP antibody [6G11A6].
Black : Control antigen 100ng
Purple : Antigen 10ng
Blue : Antigen 50ng
Red : Antigen 100ng

4 / 4
Anti-FLIP antibody [6G11A6] used in Western Blot (WB). GTX60787
Anti-FLIP antibody [6G11A6] used in IHC (Paraffin sections) (IHC-P). GTX60787
Anti-FLIP antibody [6G11A6] used in IHC (Paraffin sections) (IHC-P). GTX60787
Anti-FLIP antibody [6G11A6] used in ELISA (ELISA). GTX60787
  • Host
    Mouse
  • Clonality
    Monoclonal
  • Clone Name
    6G11A6
  • Isotype
    IgG1
  • Applications
    WB IHC-P ELISA
  • Reactivity
    Human
See all FLIP products