FLJ22167 antibody, N-term

Cat. No. GTX46584
Cat. No.  GTX46584
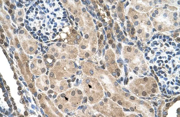
Anti-FLJ22167 antibody, N-term used in IHC (Paraffin sections) (IHC-P). GTX46584
GTX46584 IHC-P Image

IHC-P analysis of human kidney tissue using GTX46584 FLJ22167 antibody at 4.0-8.0μg/ml.

1 / 2
Anti-FLJ22167 antibody, N-term used in Western Blot (WB). GTX46584
GTX46584 WB Image

WB analysis of HepG2 cells using GTX46584 FLJ22167 antibody at 1.25μg/ml.
Lane A : marker
Lane B : HepG2 cells

2 / 2
Anti-FLJ22167 antibody, N-term used in IHC (Paraffin sections) (IHC-P). GTX46584
Anti-FLJ22167 antibody, N-term used in Western Blot (WB). GTX46584
  • Host
    Rabbit
  • Clonality
    Polyclonal
  • Isotype
    IgG
  • Applications
    WB IHC-P
  • Reactivity
    Human
See all FLJ22167 products