FMRP antibody, Internal

Cat. No. GTX88748
Cat. No.  GTX88748
Anti-FMRP antibody, Internal used in Western Blot (WB). GTX88748
GTX88748 WB Image

WB analysis of Kelly cell lysate using GTX88748 FMRP antibody, Internal.
Dilution : 0.1μg/ml
Loading : 35μg protein in RIPA buffer

1 / 2
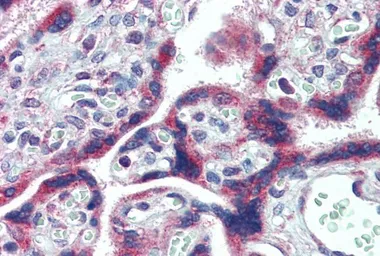
Anti-FMRP antibody, Internal used in IHC (Paraffin sections) (IHC-P). GTX88748
GTX88748 IHC-P Image

IHC-P analysis of human placenta using GTX88748 FMRP antibody, Internal.
Antigen retrieval : citrate buffer pH 6
Dilution : 2.5μg/ml

2 / 2
Anti-FMRP antibody, Internal used in Western Blot (WB). GTX88748
Anti-FMRP antibody, Internal used in IHC (Paraffin sections) (IHC-P). GTX88748
  • Host
    Goat
  • Clonality
    Polyclonal
  • Isotype
    IgG
  • Applications
    WB IHC-P
  • Reactivity
    Human
See all FMRP products