FOXA1 antibody [3A8]

Cat. No. GTX84487
Cat. No.  GTX84487
Anti-FOXA1 antibody [3A8] used in Western Blot (WB). GTX84487
GTX84487 WB Image

WB analysis of HEK293T cells transfected with FOXA1 plasmid (Right) or empty vector (Left) for 48 hrs using GTX84487 FOXA1 antibody [3A8].
Loading : 5 ug per lane

1 / 3
Anti-FOXA1 antibody [3A8] used in Immunocytochemistry/ Immunofluorescence (ICC/IF). GTX84487
GTX84487 ICC/IF Image

ICC/IF analysis of COS7 cells transiently transfected with FOXA1 plasmid using GTX84487 FOXA1 antibody [3A8].

2 / 3
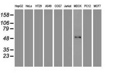
Anti-FOXA1 antibody [3A8] used in Western Blot (WB). GTX84487
GTX84487 WB Image

WB analysis of various cell lines using GTX84487 FOXA1 antibody [3A8].
Loading : 35 ug per lane

3 / 3
Anti-FOXA1 antibody [3A8] used in Western Blot (WB). GTX84487
Anti-FOXA1 antibody [3A8] used in Immunocytochemistry/ Immunofluorescence (ICC/IF). GTX84487
Anti-FOXA1 antibody [3A8] used in Western Blot (WB). GTX84487
  • Host
    Mouse
  • Clonality
    Monoclonal
  • Clone Name
    3A8
  • Isotype
    IgG2b
  • Applications
    WB ICC/IF
  • Reactivity
    Human, Dog
See all FOXA1 products