FOXE1 antibody, C-term

Cat. No. GTX25080
Cat. No.  GTX25080
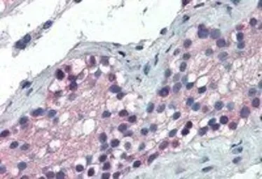
Anti-FOXE1 antibody, C-term used in IHC (Paraffin sections) (IHC-P). GTX25080
GTX25080 IHC-P Image

IHC-P analysis of human testis using GTX25080 FOXE1 antibody, C-term.
Antigen retrieval : Tris/EDTA buffer pH 9
Dilution : 5μg/ml

1 / 2
Anti-FOXE1 antibody, C-term used in IHC (Paraffin sections) (IHC-P). GTX25080
GTX25080 IHC-P Image

IHC-P analysis of human thyroid Gland using GTX25080 FOXE1 antibody, C-term.
Antigen retrieval : Tris/EDTA buffer pH 9
Dilution : 2μg/ml

2 / 2
Anti-FOXE1 antibody, C-term used in IHC (Paraffin sections) (IHC-P). GTX25080
Anti-FOXE1 antibody, C-term used in IHC (Paraffin sections) (IHC-P). GTX25080
  • Host
    Goat
  • Clonality
    Polyclonal
  • Isotype
    IgG
  • Applications
    IHC-P
  • Reactivity
    Human
See all FOXE1 products