FOXI3 antibody, Internal

Cat. No. GTX88246
Cat. No.  GTX88246
Anti-FOXI3 antibody, Internal used in IHC (Paraffin sections) (IHC-P). GTX88246
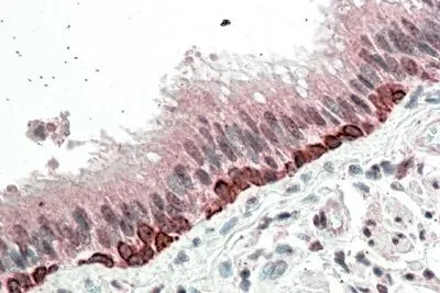
GTX88246 IHC-P Image

IHC-P analysis of human bronchus using GTX88246 FOXI3 antibody, Internal.
Antigen retrieval : citrate buffer pH 6
Dilution : 5μg/ml

1 / 1
Anti-FOXI3 antibody, Internal used in IHC (Paraffin sections) (IHC-P). GTX88246
  • Host
    Goat
  • Clonality
    Polyclonal
  • Isotype
    IgG
  • Applications
    IHC-P
  • Reactivity
    Human
See all FOXI3 products