FOXO1 (Acetyl Lys294) antibody

Cat. No. GTX03372
Cat. No.  GTX03372
Anti-FOXO1 (Acetyl Lys294) antibody used in Western Blot (WB). GTX03372
GTX03372 WB Image

WB analysis of TSA treated HeLa cell lysate using GTX03372 FOXO1 (Acetyl Lys294) antibody.
Lane1 : Primary antibody pre-treated with Ac-blocking peptide
Lane2 : Primary antibody pre-treated with Non-Ac-blocking peptide

1 / 4
Anti-FOXO1 (Acetyl Lys294) antibody used in IHC (Paraffin sections) (IHC-P). GTX03372
GTX03372 IHC-P Image

IHC-P analysis of human lung cancer tissue section using GTX03372 FOXO1 (Acetyl Lys294) antibody.
Antigen retireval : Heat mediated antigen retrieval step in citrate buffer was performed.
Dilution : 1:100

2 / 4
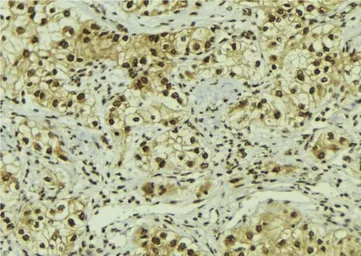
Anti-FOXO1 (Acetyl Lys294) antibody used in IHC (Paraffin sections) (IHC-P). GTX03372
GTX03372 IHC-P Image

IHC-P analysis of human breast cancer tissue section using GTX03372 FOXO1 (Acetyl Lys294) antibody.
Antigen retireval : Heat mediated antigen retrieval step in citrate buffer was performed.
Dilution : 1:100

3 / 4
Anti-FOXO1 (Acetyl Lys294) antibody used in Western Blot (WB). GTX03372
GTX03372 WB Image

WB analysis of various samples using GTX03372 FOXO1 (Acetyl Lys294) antibody.
Lane 1 : Heat-shock treated COS-7 cell lysate blocked with antigen-specific peptides
Lane 2 : Heat-shock treated COS-7 cell lysate
Lane 3 : LPS treated A2780 cell lysate

4 / 4
Anti-FOXO1 (Acetyl Lys294) antibody used in Western Blot (WB). GTX03372
Anti-FOXO1 (Acetyl Lys294) antibody used in IHC (Paraffin sections) (IHC-P). GTX03372
Anti-FOXO1 (Acetyl Lys294) antibody used in IHC (Paraffin sections) (IHC-P). GTX03372
Anti-FOXO1 (Acetyl Lys294) antibody used in Western Blot (WB). GTX03372
  • Host
    Rabbit
  • Clonality
    Polyclonal
  • Isotype
    IgG
  • Applications
    WB IHC-P
  • Reactivity
    Human, Monkey
See all FOXO1 products