FOXO1 antibody

Cat. No. GTX50482
Cat. No.  GTX50482
Anti-FOXO1 antibody used in Western Blot (WB). GTX50482
GTX50482 WB Image

WB analysis of extracts from HeLa cells using GTX50482 FOXO1 antibody.

1 / 3
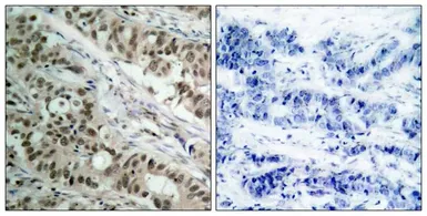
Anti-FOXO1 antibody used in IHC (Paraffin sections) (IHC-P). GTX50482
GTX50482 IHC-P Image

IHC-P analysis of human breast carcinoma tissue using GTX50482 FOXO1 antibody.
Left : Primary antibody
Right : Primary antibody pre-incubated with the antigen specific peptide

2 / 3
Anti-FOXO1 antibody used in Immunocytochemistry/ Immunofluorescence (ICC/IF). GTX50482
GTX50482 ICC/IF Image

ICC/IF analysis of methanol-fixed HeLa cells using GTX50482 FOXO1 antibody.

3 / 3
Anti-FOXO1 antibody used in Western Blot (WB). GTX50482
Anti-FOXO1 antibody used in IHC (Paraffin sections) (IHC-P). GTX50482
Anti-FOXO1 antibody used in Immunocytochemistry/ Immunofluorescence (ICC/IF). GTX50482
  • Host
    Rabbit
  • Clonality
    Polyclonal
  • Isotype
    IgG
  • Applications
    WB ICC/IF IHC-P
  • Reactivity
    Human
See all FOXO1 products