FOXO4 (phospho Ser197) antibody

Cat. No. GTX79151
Cat. No.  GTX79151
Anti-FOXO4 (phospho Ser197) antibody used in Western Blot (WB). GTX79151
GTX79151 WB Image

WB analysis of serum treated 293 cell lysate using GTX79151 FOXO4 (phospho Ser197) antibody (Lane 3 and 4) and FOXO4 antibody (Lane 1 and 2).

1 / 2
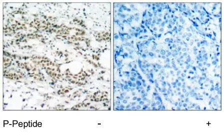
Anti-FOXO4 (phospho Ser197) antibody used in IHC (Paraffin sections) (IHC-P). GTX79151
GTX79151 IHC-P Image

IHC-P analysis of human breast carcinoma tissue using GTX79151 FOXO4 (phospho Ser197) antibody.

2 / 2
Anti-FOXO4 (phospho Ser197) antibody used in Western Blot (WB). GTX79151
Anti-FOXO4 (phospho Ser197) antibody used in IHC (Paraffin sections) (IHC-P). GTX79151
  • Host
    Rabbit
  • Clonality
    Polyclonal
  • Isotype
    IgG
  • Applications
    WB IHC-P
  • Reactivity
    Human
See all FOXO4 products