FOXP1 antibody

Cat. No. GTX129252
Cat. No.  GTX129252
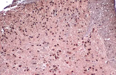
Anti-FOXP1 antibody used in IHC (Paraffin sections) (IHC-P). GTX129252
GTX129252 IHC-P Image

FOXP1 antibody detects FOXP1 protein at nucleus by immunohistochemical analysis.
Sample: Paraffin-embedded mouse spinal cord.
FOXP1 stained by FOXP1 antibody (GTX129252) diluted at 1:500.
Antigen Retrieval: Citrate buffer, pH 6.0, 15 min

1 / 3
Anti-FOXP1 antibody used in Western Blot (WB). GTX129252
GTX129252 WB Image

HeLa whole cell and nuclear extracts (30 μg) were separated by 7.5% SDS-PAGE, and the membrane was blotted with FOXP1 antibody (GTX129252) diluted at 1:500.

2 / 3
Anti-FOXP1 antibody used in Western Blot (WB). GTX129252
GTX129252 WB Image

Raji whole cell and nuclear extracts (30 μg) were separated by 7.5% SDS-PAGE, and the membrane was blotted with FOXP1 antibody (GTX129252) diluted at 1:500.

3 / 3
Anti-FOXP1 antibody used in IHC (Paraffin sections) (IHC-P). GTX129252
Anti-FOXP1 antibody used in Western Blot (WB). GTX129252
Anti-FOXP1 antibody used in Western Blot (WB). GTX129252
  • Host
    Rabbit
  • Clonality
    Polyclonal
  • Isotype
    IgG
  • Applications
    WB IHC-P
  • Reactivity
    Human, Mouse
See all FOXP1 products