Fas Ligand antibody

Cat. No. GTX05180
Cat. No.  GTX05180
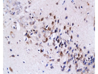
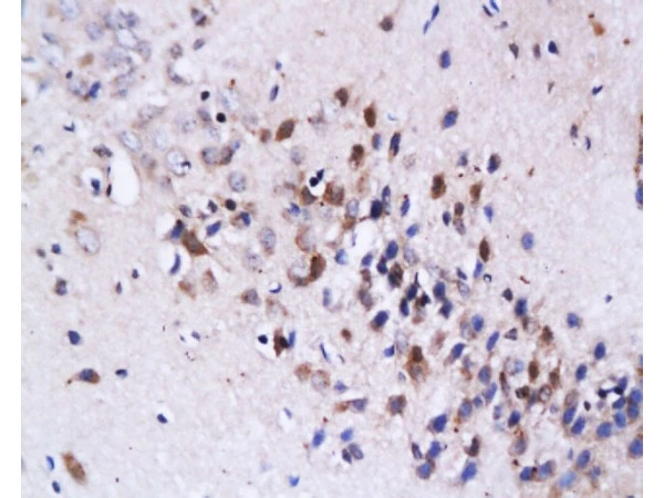
Anti-Fas Ligand antibody used in IHC (Paraffin sections) (IHC-P). GTX05180
GTX05180 IHC-P Image

IHC-P analysis of rat brain tissue using GTX05180 Fas Ligand antibody.
Dilution : 1:200

1 / 5
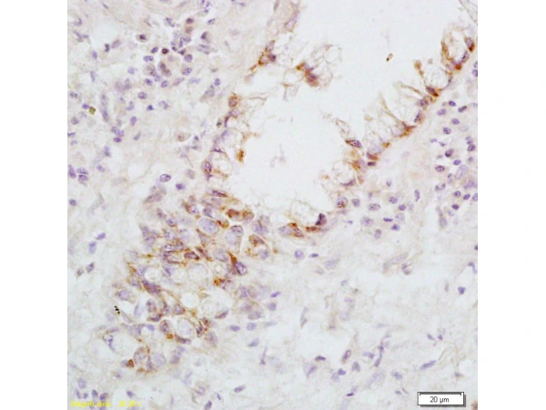
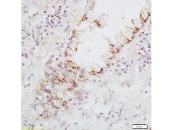
Anti-Fas Ligand antibody used in IHC (Paraffin sections) (IHC-P). GTX05180
GTX05180 IHC-P Image

IHC-P analysis of human rectal carcinoma tissue using GTX05180 Fas Ligand antibody.
Dilution : 1:200

2 / 5
Anti-Fas Ligand antibody used in Western Blot (WB). GTX05180
GTX05180 WB Image

WB analysis of various samples using GTX05180 Fas Ligand antibody.
Lane 1 : Mouse bone tissue lysate
Lane 2 : Rat bone tissue lysate
Dilution : 1:1000

3 / 5
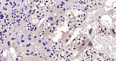
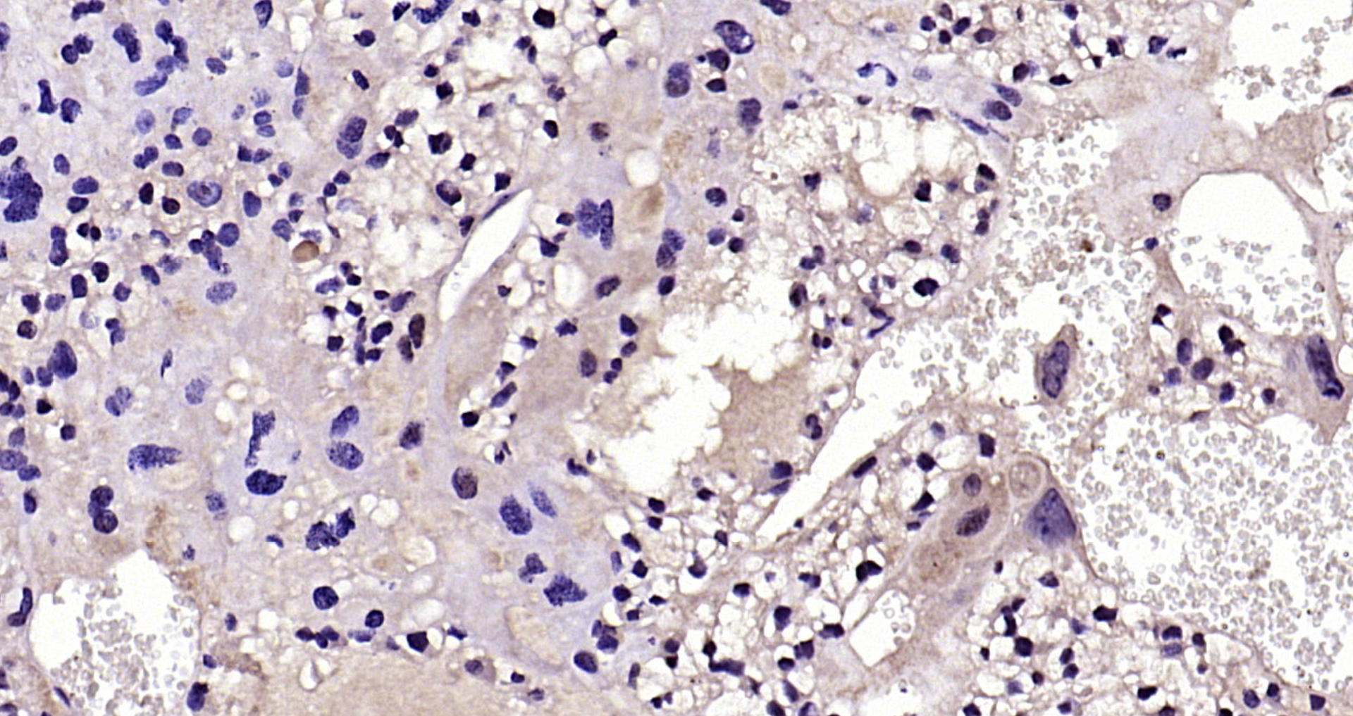
Anti-Fas Ligand antibody used in IHC (Paraffin sections) (IHC-P). GTX05180
GTX05180 IHC-P Image

IHC-P analysis of mouse placenta tissue using GTX05180 Fas Ligand antibody.
Antigen retrieval : Heat mediated antigen retrieval performed with sodium citrate buffer (pH 6.0).
Dilution : 1:200

4 / 5
Anti-Fas Ligand antibody used in Western Blot (WB). GTX05180
GTX05180 WB Image

WB analysis of Jurkat whole cell lysate using GTX05180 Fas Ligand antibody.
Dilution : 1:1000

5 / 5
Anti-Fas Ligand antibody used in IHC (Paraffin sections) (IHC-P). GTX05180
Anti-Fas Ligand antibody used in IHC (Paraffin sections) (IHC-P). GTX05180
Anti-Fas Ligand antibody used in Western Blot (WB). GTX05180
Anti-Fas Ligand antibody used in IHC (Paraffin sections) (IHC-P). GTX05180
Anti-Fas Ligand antibody used in Western Blot (WB). GTX05180
  • Host
    Rabbit
  • Clonality
    Polyclonal
  • Isotype
    IgG
  • Applications
    WB ICC/IF IHC-P FCM
  • Reactivity
    Human, Mouse, Rat
See all Fas Ligand products