Fibronectin antibody (ready-to-use)

Cat. No. GTX05128
Cat. No.  GTX05128
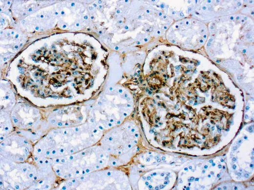
Anti-Fibronectin antibody (ready-to-use) used in IHC (Paraffin sections) (IHC-P). GTX05128
GTX05128 IHC-P Image

IHC-P analysis of human kidney tissue using GTX05128 Fibronectin antibody (ready-to-use).

1 / 1
Anti-Fibronectin antibody (ready-to-use) used in IHC (Paraffin sections) (IHC-P). GTX05128
  • Host
    Rabbit
  • Clonality
    Polyclonal
  • Isotype
    IgG
  • Applications
    IHC-P
  • Reactivity
    Human
See all Fibronectin products