Filaggrin antibody [FLG/1945]

Cat. No. GTX17964
Cat. No.  GTX17964
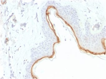
Anti-Filaggrin antibody [FLG/1945] used in IHC (Paraffin sections) (IHC-P). GTX17964
GTX17964 IHC-P Image

IHC-P analysis of human skin tissue using GTX17964 Filaggrin antibody [FLG/1945].

1 / 1
Anti-Filaggrin antibody [FLG/1945] used in IHC (Paraffin sections) (IHC-P). GTX17964
  • Host
    Mouse
  • Clonality
    Monoclonal
  • Clone Name
    FLG/1945
  • Isotype
    IgG2b
  • Applications
    IHC-P
  • Reactivity
    Human
See all Filaggrin products