Filamin B antibody [GT1282]

Cat. No. GTX632677
Cat. No.  GTX632677
Anti-Filamin B antibody [GT1282] used in Western Blot (WB). GTX632677
GTX632677 WB Image

Non-transfected (–) and transfected (+) HeLa whole cell extracts (30 μg) were separated by 5% SDS-PAGE, and the membrane was blotted with Filamin B antibody [GT1282] (GTX632677) diluted at 1:1000.

1 / 3
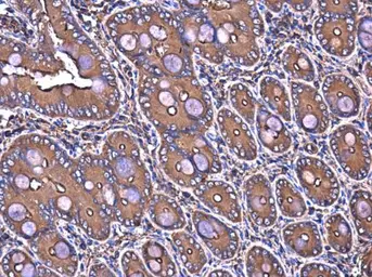
Anti-Filamin B antibody [GT1282] used in IHC (Paraffin sections) (IHC-P). GTX632677
GTX632677 IHC-P Image

Filamin B antibody [GT1282] detects Filamin B protein at cytoplasm in rat duodenum by immunohistochemical analysis.
Sample: Paraffin-embedded rat duodenum.
Filamin B antibody [GT1282] (GTX632677) diluted at 1:250.

Antigen Retrieval: Citrate buffer, pH 6.0, 15 min

2 / 3
Anti-Filamin B antibody [GT1282] used in Western Blot (WB). GTX632677
GTX632677 WB Image

Various whole cell extracts (30 μg) were separated by 5% SDS-PAGE, and the membrane was blotted with Filamin B antibody [GT1282] (GTX632677) diluted at 1:1000.

3 / 3
Anti-Filamin B antibody [GT1282] used in Western Blot (WB). GTX632677
Anti-Filamin B antibody [GT1282] used in IHC (Paraffin sections) (IHC-P). GTX632677
Anti-Filamin B antibody [GT1282] used in Western Blot (WB). GTX632677
  • Host
    Mouse
  • Clonality
    Monoclonal
  • Clone Name
    GT1282
  • Isotype
    IgG1
  • Applications
    WB IHC-P
  • Reactivity
    Human, Rat
See all Filamin B products