Fumarate hydratase antibody

Cat. No. GTX53996
Cat. No.  GTX53996
Anti-Fumarate hydratase antibody used in Immunocytochemistry/ Immunofluorescence (ICC/IF). GTX53996
GTX53996 ICC/IF Image

ICC/IF analysis of U2OS cells using GTX53996 Fumarate hydratase antibody.
Blue : DAPI

1 / 2
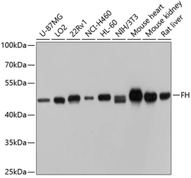
Anti-Fumarate hydratase antibody used in Western Blot (WB). GTX53996
GTX53996 WB Image

WB analysis of various sample lysates using GTX53996 Fumarate hydratase antibody.
Dilution : 1:1000
Loading : 25μg per lane

2 / 2
Anti-Fumarate hydratase antibody used in Immunocytochemistry/ Immunofluorescence (ICC/IF). GTX53996
Anti-Fumarate hydratase antibody used in Western Blot (WB). GTX53996
  • Host
    Rabbit
  • Clonality
    Polyclonal
  • Isotype
    IgG
  • Applications
    WB ICC/IF
  • Reactivity
    Human, Mouse, Rat
See all Fumarate hydratase products