GABA Transporter 1 / GAT1 antibody [HMV4721] HistoMAX™

Cat. No. GTX646001
Cat. No.  GTX646001
Anti-GABA Transporter 1 / GAT1 antibody [HMV4721] HistoMAX™ used in IHC (Paraffin sections) (IHC-P). GTX646001
GTX646001 IHC-P Image

IHC-P analysis of human cerebrum tissue using GTX646001 GABA Transporter 1 / GAT1 antibody [HMV4721] HistoMAX™.
A strong membranous GABA Transporter 1 / GAT1 staining of Purkinje cells, other neurons and axons.

1 / 4
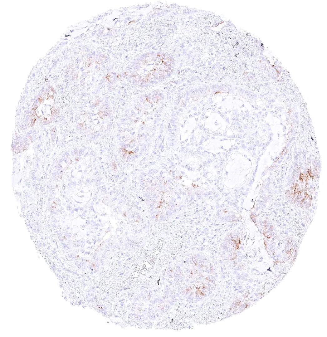
Anti-GABA Transporter 1 / GAT1 antibody [HMV4721] HistoMAX™ used in IHC (Paraffin sections) (IHC-P). GTX646001
GTX646001 IHC-P Image

IHC-P analysis of human kidney cancer tissue using GTX646001 GABA Transporter 1 / GAT1 antibody [HMV4721] HistoMAX™.
GABA Transporter 1 / GAT1 negative papillary renal cell carcinoma.

2 / 4
Anti-GABA Transporter 1 / GAT1 antibody [HMV4721] HistoMAX™ used in IHC (Paraffin sections) (IHC-P). GTX646001
GTX646001 IHC-P Image

IHC-P analysis of human liver tissue using GTX646001 GABA Transporter 1 / GAT1 antibody [HMV4721] HistoMAX™.
A moderate to strong, membranous GABA Transporter 1 / GAT1 staining of hepatocytes.

3 / 4
Anti-GABA Transporter 1 / GAT1 antibody [HMV4721] HistoMAX™ used in IHC (Paraffin sections) (IHC-P). GTX646001
GTX646001 IHC-P Image

IHC-P analysis of human lung adenocarcinoma tissue using GTX646001 GABA Transporter 1 / GAT1 antibody [HMV4721] HistoMAX™.
A weak to moderate GABA Transporter 1 / GAT1 immunostaining of a subset of tumor cells.

4 / 4
Anti-GABA Transporter 1 / GAT1 antibody [HMV4721] HistoMAX™ used in IHC (Paraffin sections) (IHC-P). GTX646001
Anti-GABA Transporter 1 / GAT1 antibody [HMV4721] HistoMAX™ used in IHC (Paraffin sections) (IHC-P). GTX646001
Anti-GABA Transporter 1 / GAT1 antibody [HMV4721] HistoMAX™ used in IHC (Paraffin sections) (IHC-P). GTX646001
Anti-GABA Transporter 1 / GAT1 antibody [HMV4721] HistoMAX™ used in IHC (Paraffin sections) (IHC-P). GTX646001
  • Host
    Rabbit
  • Clonality
    Monoclonal
  • Clone Name
    HMV4721
  • Isotype
    IgG
  • Applications
    IHC-P
  • Reactivity
    Human
See all GABA Transporter 1 / GAT1 products