GALNT7 antibody [C1C3]

Cat. No. GTX119421
Cat. No.  GTX119421
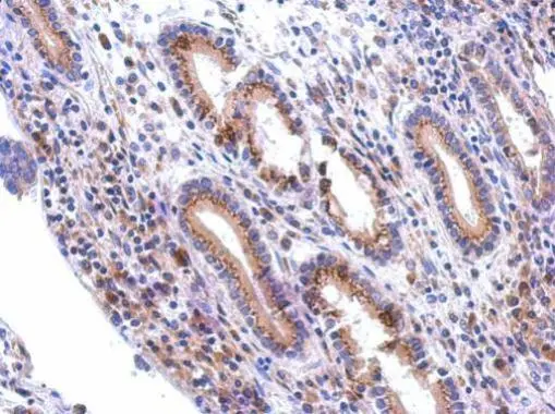
Anti-GALNT7 antibody [C1C3] used in IHC (Paraffin sections) (IHC-P). GTX119421
GTX119421 IHC-P Image

Immunohistochemical analysis of paraffin-embedded human gastric cancer, using GALNT7(GTX119421) antibody at 1:500 dilution.
Antigen Retrieval: Trilogy™ (EDTA based, pH 8.0) buffer, 15min

1 / 2
Anti-GALNT7 antibody [C1C3] used in Western Blot (WB). GTX119421
GTX119421 WB Image

Sample (30 ug of whole cell lysate)
A: MCF-7
7.5% SDS PAGE
GTX119421 diluted at 1:1000

2 / 2
Anti-GALNT7 antibody [C1C3] used in IHC (Paraffin sections) (IHC-P). GTX119421
Anti-GALNT7 antibody [C1C3] used in Western Blot (WB). GTX119421
  • Host
    Rabbit
  • Clonality
    Polyclonal
  • Isotype
    IgG
  • Applications
    WB IHC-P
  • Reactivity
    Human
See all GALNT7 products