GAPDH antibody, C-term

Cat. No. GTX89740
Cat. No.  GTX89740
Anti-GAPDH antibody, C-term used in Western Blot (WB). GTX89740
GTX89740 WB Image

WB analysis of HEK293 (A) and HeLa (B) cell lysate using GTX89740 GAPDH antibody, C-term.
Dilution : 0.1μg/ml
Loading : 35μg protein in RIPA buffer

1 / 5
Anti-GAPDH antibody, C-term used in Western Blot (WB). GTX89740
GTX89740 WB Image

WB analysis of human liver (A) and tonsil (B) lysate using GTX89740 GAPDH antibody, C-term.
Dilution : 0.1μg/ml
Loading : 35μg protein in RIPA buffer

2 / 5
Anti-GAPDH antibody, C-term used in Western Blot (WB). GTX89740
GTX89740 WB Image

WB analysis of mouse liver (A) and rat brain (B) lysate using GTX89740 GAPDH antibody, C-term.
Dilution : 0.5μg/ml
Loading : 35μg protein in RIPA buffer

3 / 5
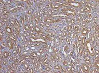
Anti-GAPDH antibody, C-term used in IHC (Paraffin sections) (IHC-P). GTX89740
GTX89740 IHC-P Image

IHC-P analysis of human kidney using GTX89740 GAPDH antibody, C-term.
Antigen retrieval : citrate buffer pH 6
Dilution : 5μg/ml

4 / 5
Anti-GAPDH antibody, C-term used in Immunocytochemistry/ Immunofluorescence (ICC/IF). GTX89740
GTX89740 ICC/IF Image

ICC/IF analysis of PFA fixed HeLa cells using GTX89740 GAPDH antibody, C-term.
Green : Primary antibody
Blue : DAPI
Negative control : Unimmunized goat IgG
Permeabilization : 0.15% Triton
Dilution : 5μg/ml

5 / 5
Anti-GAPDH antibody, C-term used in Western Blot (WB). GTX89740
Anti-GAPDH antibody, C-term used in Western Blot (WB). GTX89740
Anti-GAPDH antibody, C-term used in Western Blot (WB). GTX89740
Anti-GAPDH antibody, C-term used in IHC (Paraffin sections) (IHC-P). GTX89740
Anti-GAPDH antibody, C-term used in Immunocytochemistry/ Immunofluorescence (ICC/IF). GTX89740
  • Host
    Goat
  • Clonality
    Polyclonal
  • Isotype
    IgG
  • Applications
    WB ICC/IF IHC-P
  • Reactivity
    Human, Mouse, Rat, Drosophila
See all GAPDH products