GATA3 antibody [1A12-1D9]

Cat. No. GTX30600
Cat. No.  GTX30600
Anti-GATA3 antibody [1A12-1D9] used in Immunocytochemistry/ Immunofluorescence (ICC/IF). GTX30600
GTX30600 ICC/IF Image

ICC/IF analysis of SH-SY5Y cells using GTX30600 GATA3 antibody [1A12-1D9]. Cells were probed without (left) or with(right) an antibody.
Green : Primary antibody
Blue : Nuclei
Red : Actin
Fixation : Formalin
Permeabilization : 0.1% Triton X-100 in TBS for 10 minutes
Dilution : 1:50 for at least 1 hour at room temperature

1 / 8
Anti-GATA3 antibody [1A12-1D9] used in Western Blot (WB). GTX30600
GTX30600 WB Image

WB analysis of 15 ug of HEK293T cell lysate overexpressing GATA3-DDK (right lane) or empty vector control (left lane) using GTX30600 GATA3 antibody [1A12-1D9].
Dilution : 1:1000

2 / 8
Anti-GATA3 antibody [1A12-1D9] used in Western Blot (WB). GTX30600
GTX30600 WB Image

WB analysis of 15 ug of SH-SY5Y whole cell lysate (WCL), SH-SY5Y nuclear extract (NE) using GTX30600 GATA3 antibody [1A12-1D9].
Dilution : 1:1000

3 / 8
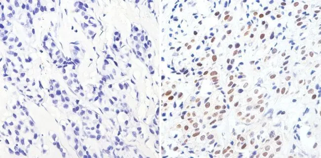
Anti-GATA3 antibody [1A12-1D9] used in IHC (Paraffin sections) (IHC-P). GTX30600
GTX30600 IHC-P Image

IHC-P analysis of human breast carcinoma tissue using GTX30600 GATA3 antibody [1A12-1D9].
Right : Primary antibody
Left : Negative control without primary antibody
Antigen retrieval : 10mM sodium citrate (pH 6.0), microwaved for 8-15 min
Dilution : 1:1000

4 / 8
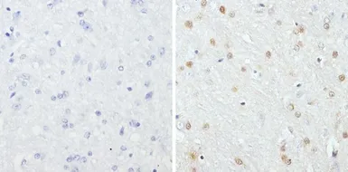
Anti-GATA3 antibody [1A12-1D9] used in IHC (Paraffin sections) (IHC-P). GTX30600
GTX30600 IHC-P Image

IHC-P analysis of mouse brain tissue using GTX30600 GATA3 antibody [1A12-1D9].
Right : Primary antibody
Left : Negative control without primary antibody
Antigen retrieval : 10mM sodium citrate (pH 6.0), microwaved for 8-15 min
Dilution : 1:1000

5 / 8
Anti-GATA3 antibody [1A12-1D9] used in Immunoprecipitation (IP). GTX30600
GTX30600 IP Image

IP analysis of SH-SY5Y cell lysates using GTX30600 GATA3 antibody [1A12-1D9].
IP reaction : 5μl antibody / 250μg lysate
Dilution : 1:1000

6 / 8
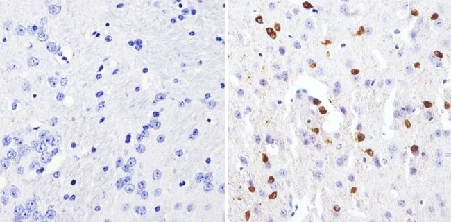
Anti-GATA3 antibody [1A12-1D9] used in IHC (Paraffin sections) (IHC-P). GTX30600
GTX30600 IHC-P Image

IHC-P analysis of rat brain tissue using GTX30600 GATA3 antibody [1A12-1D9].
Right : Primary antibody
Left : Negative control without primary antibody
Antigen retrieval : 10mM sodium citrate (pH 6.0), microwaved for 8-15 min
Dilution : 1:200

7 / 8
Anti-GATA3 antibody [1A12-1D9] used in Immunocytochemistry/ Immunofluorescence (ICC/IF). GTX30600
GTX30600 ICC/IF Image

ICC/IF analysis of MCF-7 cells using GTX30600 GATA3 antibody [1A12-1D9]. Cells were probed without (left) or with(right) an antibody.
Green : Primary antibody
Blue : Nuclei
Red : Actin
Fixation : Formalin
Permeabilization : 0.1% Triton X-100 in TBS for 10 minutes
Dilution : 1:50 for at least 1 hour at room temperature

8 / 8
Anti-GATA3 antibody [1A12-1D9] used in Immunocytochemistry/ Immunofluorescence (ICC/IF). GTX30600
Anti-GATA3 antibody [1A12-1D9] used in Western Blot (WB). GTX30600
Anti-GATA3 antibody [1A12-1D9] used in Western Blot (WB). GTX30600
Anti-GATA3 antibody [1A12-1D9] used in IHC (Paraffin sections) (IHC-P). GTX30600
Anti-GATA3 antibody [1A12-1D9] used in IHC (Paraffin sections) (IHC-P). GTX30600
Anti-GATA3 antibody [1A12-1D9] used in Immunoprecipitation (IP). GTX30600
Anti-GATA3 antibody [1A12-1D9] used in IHC (Paraffin sections) (IHC-P). GTX30600
Anti-GATA3 antibody [1A12-1D9] used in Immunocytochemistry/ Immunofluorescence (ICC/IF). GTX30600
  • Host
    Mouse
  • Clonality
    Monoclonal
  • Clone Name
    1A12-1D9
  • Isotype
    IgG1
  • Applications
    WB ICC/IF IHC-P IP
  • Reactivity
    Human, Mouse, Rat
See all GATA3 products