GATA4 antibody

Cat. No. GTX113194
Cat. No.  GTX113194
Anti-GATA4 antibody used in Immunocytochemistry/ Immunofluorescence (ICC/IF). GTX113194
GTX113194 ICC/IF Image

GATA4 antibody detects GATA4 protein at nucleus by immunofluorescent analysis.
Sample: HepG2 cells were fixed in 4% paraformaldehyde at RT for 15 min.
Green: GATA4 stained by GATA4 antibody (GTX113194) diluted at 1:500.
Red: alpha Tubulin, a cytoskeleton marker, stained by alpha Tubulin antibody [GT114] (GTX628802) diluted at 1:1000.

1 / 9
Anti-GATA4 antibody used in IHC (Paraffin sections) (IHC-P). GTX113194
GTX113194 IHC-P Image

GATA4 antibody detects GATA4 protein at nucleus by immunohistochemical analysis.
Sample: Paraffin-embedded mouse duodenum.
GATA4 stained by GATA4 antibody (GTX113194) diluted at 1:1000.
Antigen Retrieval: Citrate buffer, pH 6.0, 15 min

2 / 9
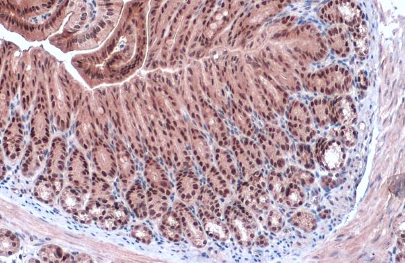
Anti-GATA4 antibody used in IHC (Paraffin sections) (IHC-P). GTX113194
GTX113194 IHC-P Image

GATA4 antibody detects GATA4 protein at nucleus by immunohistochemical analysis.
Sample: Paraffin-embedded mouse stomach.
GATA4 stained by GATA4 antibody (GTX113194) diluted at 1:500.
Antigen Retrieval: Citrate buffer, pH 6.0, 15 min

3 / 9
Anti-GATA4 antibody used in Western Blot (WB). GTX113194
GTX113194 WB Image

Various whole cell extracts (30 μg) were separated by 10% SDS-PAGE, and the membrane was blotted with GATA4 antibody (GTX113194) diluted at 1:1000. The HRP-conjugated anti-rabbit IgG antibody (GTX213110-01) was used to detect the primary antibody.

4 / 9
Anti-GATA4 antibody used in Immunocytochemistry/ Immunofluorescence (ICC/IF). GTX113194
GTX113194 ICC/IF Image

Immunofluorescence analysis of paraformaldehyde-fixed HeLa, using GATA4(GTX113194) antibody at 1:500 dilution.

5 / 9
Anti-GATA4 antibody used in IHC (Paraffin sections) (IHC-P). GTX113194
GTX113194 IHC-P Image

GATA4 antibody detects GATA4 protein at nucleus by immunohistochemical analysis.
Sample: Paraffin-embedded mouse colon.
GATA4 stained by GATA4 antibody (GTX113194) diluted at 1:500.
Antigen Retrieval: Citrate buffer, pH 6.0, 15 min

6 / 9
Anti-GATA4 antibody used in IHC (Paraffin sections) (IHC-P). GTX113194
GTX113194 IHC-P Image

GATA4 antibody detects GATA4 protein at nucleus by immunohistochemical analysis.
Sample: Paraffin-embedded mouse E13.5 embryo.
Green: GATA4 stained by GATA4 antibody (GTX113194) diluted at 1:250.
Blue: Fluoroshield with DAPI (GTX30920).
Antigen Retrieval: Citrate buffer, pH 6.0, 15 min

7 / 9
Anti-GATA4 antibody used in Western Blot (WB). GTX113194
GTX113194 WB Image

The data was published in the journal Sci Rep in 2017. PMID: 28102204

8 / 9
Anti-GATA4 antibody used in IHC (Paraffin sections) (IHC-P). GTX113194
GTX113194 IHC-P Image

The data was published in the journal Sci Rep in 2017. PMID: 28102204

9 / 9
Anti-GATA4 antibody used in Immunocytochemistry/ Immunofluorescence (ICC/IF). GTX113194
Anti-GATA4 antibody used in IHC (Paraffin sections) (IHC-P). GTX113194
Anti-GATA4 antibody used in IHC (Paraffin sections) (IHC-P). GTX113194
Anti-GATA4 antibody used in Western Blot (WB). GTX113194
Anti-GATA4 antibody used in Immunocytochemistry/ Immunofluorescence (ICC/IF). GTX113194
Anti-GATA4 antibody used in IHC (Paraffin sections) (IHC-P). GTX113194
Anti-GATA4 antibody used in IHC (Paraffin sections) (IHC-P). GTX113194
Anti-GATA4 antibody used in Western Blot (WB). GTX113194
Anti-GATA4 antibody used in IHC (Paraffin sections) (IHC-P). GTX113194
  • Host
    Rabbit
  • Clonality
    Polyclonal
  • Isotype
    IgG
  • Applications
    WB ICC/IF IHC-P
  • Reactivity
    Human, Mouse
See all GATA4 products