GBA antibody

Cat. No. GTX114073
Cat. No.  GTX114073
Anti-GBA antibody used in Western Blot (WB). GTX114073
GTX114073 WB Image

Wild-type (WT) and GBA knockout (KO) HeLa cell extracts (30 μg) were separated by 7.5% SDS-PAGE, and the membrane was blotted with GBA antibody (GTX114073) diluted at 1:500. The HRP-conjugated anti-rabbit IgG antibody (GTX213110-01) was used to detect the primary antibody.

1 / 5
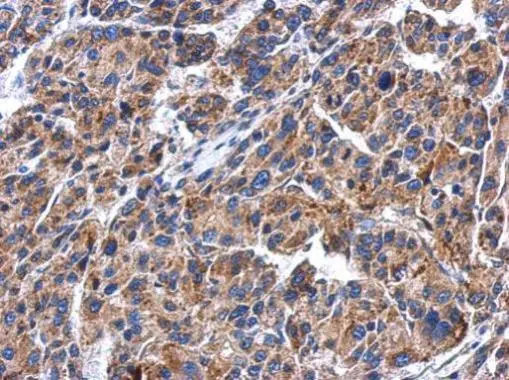
Anti-GBA antibody used in IHC (Paraffin sections) (IHC-P). GTX114073
GTX114073 IHC-P Image

Immunohistochemical analysis of paraffin-embedded human hepatoma, using GBA(GTX114073) antibody at 1:500 dilution.
Antigen Retrieval: Trilogy™ (EDTA based, pH 8.0) buffer, 15min

2 / 5
Anti-GBA antibody used in IHC (Paraffin sections) (IHC-P). GTX114073
GTX114073 IHC-P Image

GBA antibody detects GBA protein at cytoplasm by immunohistochemical analysis.
Sample: Paraffin-embedded rat liver.
GBA stained by GBA antibody (GTX114073) diluted at 1:1000.
Antigen Retrieval: Citrate buffer, pH 6.0, 15 min

3 / 5
Anti-GBA antibody used in Western Blot (WB). GTX114073
GTX114073 WB Image

MCF-7 whole cell and membrane extracts (30 μg) were separated by 10% SDS-PAGE, and the membrane was blotted with GBA antibody (GTX114073) diluted at 1:500. The HRP-conjugated anti-rabbit IgG antibody (GTX213110-01) was used to detect the primary antibody.

4 / 5
Anti-GBA antibody used in IHC (Paraffin sections) (IHC-P). GTX114073
GTX114073 IHC-P Image

GBA antibody detects GBA protein at cytoplasm by immunohistochemical analysis.
Sample: Paraffin-embedded rat kidney.
GBA stained by GBA antibody (GTX114073) diluted at 1:1000.
Antigen Retrieval: Citrate buffer, pH 6.0, 15 min

5 / 5
Anti-GBA antibody used in Western Blot (WB). GTX114073
Anti-GBA antibody used in IHC (Paraffin sections) (IHC-P). GTX114073
Anti-GBA antibody used in IHC (Paraffin sections) (IHC-P). GTX114073
Anti-GBA antibody used in Western Blot (WB). GTX114073
Anti-GBA antibody used in IHC (Paraffin sections) (IHC-P). GTX114073
  • Host
    Rabbit
  • Clonality
    Polyclonal
  • Isotype
    IgG
  • Applications
    WB IHC-P
  • Reactivity
    Human, Rat
See all GBA products