GBE1 antibody [1D11]

Cat. No. GTX84452
Cat. No.  GTX84452
Anti-GBE1 antibody [1D11] used in Western Blot (WB). GTX84452
GTX84452 WB Image

WB analysis of HEK293T cells transfected with GBE1 plasmid (Right) or empty vector (Left) for 48 hrs using GTX84452 GBE1 antibody [1D11].
Loading : 5 ug per lane

1 / 8
Anti-GBE1 antibody [1D11] used in Immunoprecipitation (IP). GTX84452
GTX84452 IP Image

IP analysis of DDDDK tagged GBE1 overexpressed HEK293T lysate using GTX84452 GBE1 antibody [1D11].After extensive wash to remove any non-specific binding, the immuno-precipitated products were analyzed with rabbit anti-DDDDK polyclonal antibody.
IP reaction : 2μg antibody / 500μl cell lysate

2 / 8
Anti-GBE1 antibody [1D11] used in Flow cytometry (FCM). GTX84452
GTX84452 FCM Image

FACS analysis of HEK293T cells transfected with either GBE1 plasmid(Red) or empty vector control plasmid(Blue) using GTX84452 GBE1 antibody [1D11].

3 / 8
Anti-GBE1 antibody [1D11] used in Immunocytochemistry/ Immunofluorescence (ICC/IF). GTX84452
GTX84452 ICC/IF Image

ICC/IF analysis of HepG2 cells using GTX84452 GBE1 antibody [1D11].

4 / 8
Anti-GBE1 antibody [1D11] used in Western Blot (WB). GTX84452
GTX84452 WB Image

WB analysis of human tissues (Lane 1-Testis ; Lane 2-Omentum ; Lane 3-Uterus ; Lane 4-Breast ; Lane 5-Brain ; Lane 6-Liver ; Lane 7-Ovary ; Lane 8-Thyroid gland ; Lane 9-colon ; Lane 10-spleen) using GTX84452 GBE1 antibody [1D11].
Loading : 10 ug per lane
Dilution : 1:500

5 / 8
Anti-GBE1 antibody [1D11] used in Immunocytochemistry/ Immunofluorescence (ICC/IF). GTX84452
GTX84452 ICC/IF Image

ICC/IF analysis of COS7 cells transiently transfected with GBE1 plasmid using GTX84452 GBE1 antibody [1D11].

6 / 8
Anti-GBE1 antibody [1D11] used in Flow cytometry (FCM). GTX84452
GTX84452 FCM Image

FACS analysis of Jurkat cells using GTX84452 GBE1 antibody [1D11].
Red : Primary antibody
Blue : Negative control antibody

7 / 8
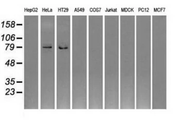
Anti-GBE1 antibody [1D11] used in Western Blot (WB). GTX84452
GTX84452 WB Image

WB analysis of various cell lines using GTX84452 GBE1 antibody [1D11].
Loading : 35 ug per lane

8 / 8
Anti-GBE1 antibody [1D11] used in Western Blot (WB). GTX84452
Anti-GBE1 antibody [1D11] used in Immunoprecipitation (IP). GTX84452
Anti-GBE1 antibody [1D11] used in Flow cytometry (FCM). GTX84452
Anti-GBE1 antibody [1D11] used in Immunocytochemistry/ Immunofluorescence (ICC/IF). GTX84452
Anti-GBE1 antibody [1D11] used in Western Blot (WB). GTX84452
Anti-GBE1 antibody [1D11] used in Immunocytochemistry/ Immunofluorescence (ICC/IF). GTX84452
Anti-GBE1 antibody [1D11] used in Flow cytometry (FCM). GTX84452
Anti-GBE1 antibody [1D11] used in Western Blot (WB). GTX84452
  • Host
    Mouse
  • Clonality
    Monoclonal
  • Clone Name
    1D11
  • Isotype
    IgG1
  • Applications
    WB ICC/IF FCM IP
  • Reactivity
    Human, Mouse
See all GBE1 products