GBE1 antibody [3B4]

Cat. No. GTX84456
Cat. No.  GTX84456
Anti-GBE1 antibody [3B4] used in Immunoprecipitation (IP). GTX84456
GTX84456 IP Image

IP analysis of DDDDK tagged GBE1 overexpressed HEK293T lysate using GTX84456 GBE1 antibody [3B4].After extensive wash to remove any non-specific binding, the immuno-precipitated products were analyzed with rabbit anti-DDDDK polyclonal antibody.
IP reaction : 2μg antibody / 500μl cell lysate

1 / 8
Anti-GBE1 antibody [3B4] used in IHC (Paraffin sections) (IHC-P). GTX84456
GTX84456 IHC-P Image

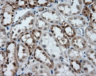
IHC-P analysis of human kidney tissue using GTX84456 GBE1 antibody [3B4].
Antigen retrieval : Heat-induced epitope retrieval by 10mM citrate buffer, pH6.0, 100ºC for 10min.

2 / 8
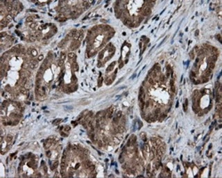
Anti-GBE1 antibody [3B4] used in IHC (Paraffin sections) (IHC-P). GTX84456
GTX84456 IHC-P Image

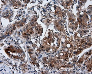
IHC-P analysis of human prostate carcinoma tissue using GTX84456 GBE1 antibody [3B4].
Antigen retrieval : Heat-induced epitope retrieval by 10mM citrate buffer, pH6.0, 100ºC for 10min.

3 / 8
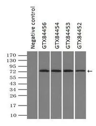
Anti-GBE1 antibody [3B4] used in Western Blot (WB). GTX84456
GTX84456 WB Image

WB analysis of COS-7 and MDCK cell lysate using GTX84456 GBE1 antibody [3B4].
Loading : 10 ug per lane
Dilution : 1:200

4 / 8
Anti-GBE1 antibody [3B4] used in Western Blot (WB). GTX84456
GTX84456 WB Image

WB analysis of HEK293T cells transfected with GBE1 plasmid (Right) or empty vector (Left) for 48 hrs using GTX84456 GBE1 antibody [3B4].
Loading : 5 ug per lane

5 / 8
Anti-GBE1 antibody [3B4] used in IHC (Paraffin sections) (IHC-P). GTX84456
GTX84456 IHC-P Image

IHC-P analysis of human pancreas tissue using GTX84456 GBE1 antibody [3B4].
Antigen retrieval : Heat-induced epitope retrieval by 10mM citrate buffer, pH6.0, 100ºC for 10min.

6 / 8
Anti-GBE1 antibody [3B4] used in IHC (Paraffin sections) (IHC-P). GTX84456
GTX84456 IHC-P Image

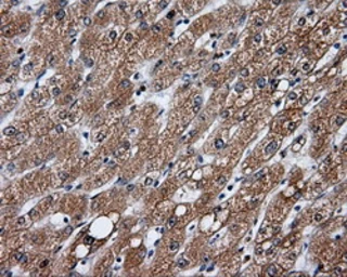
IHC-P analysis of human liver tissue using GTX84456 GBE1 antibody [3B4].
Antigen retrieval : Heat-induced epitope retrieval by 10mM citrate buffer, pH6.0, 100ºC for 10min.

7 / 8
Anti-GBE1 antibody [3B4] used in IHC (Paraffin sections) (IHC-P). GTX84456
GTX84456 IHC-P Image

IHC-P analysis of human liver carcinoma tissue using GTX84456 GBE1 antibody [3B4].
Antigen retrieval : Heat-induced epitope retrieval by 10mM citrate buffer, pH6.0, 100ºC for 10min.

8 / 8
Anti-GBE1 antibody [3B4] used in Immunoprecipitation (IP). GTX84456
Anti-GBE1 antibody [3B4] used in IHC (Paraffin sections) (IHC-P). GTX84456
Anti-GBE1 antibody [3B4] used in IHC (Paraffin sections) (IHC-P). GTX84456
Anti-GBE1 antibody [3B4] used in Western Blot (WB). GTX84456
Anti-GBE1 antibody [3B4] used in Western Blot (WB). GTX84456
Anti-GBE1 antibody [3B4] used in IHC (Paraffin sections) (IHC-P). GTX84456
Anti-GBE1 antibody [3B4] used in IHC (Paraffin sections) (IHC-P). GTX84456
Anti-GBE1 antibody [3B4] used in IHC (Paraffin sections) (IHC-P). GTX84456
  • Host
    Mouse
  • Clonality
    Monoclonal
  • Clone Name
    3B4
  • Isotype
    IgG2a
  • Applications
    WB IHC-P IP
  • Reactivity
    Human, Mouse, Dog, Monkey
See all GBE1 products