GBE1 antibody [4D9]

Cat. No. GTX84453
Cat. No.  GTX84453
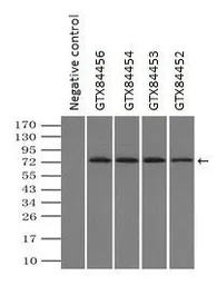
Anti-GBE1 antibody [4D9] used in Western Blot (WB). GTX84453
GTX84453 WB Image

WB analysis of HEK293T cells transfected with GBE1 plasmid (Right) or empty vector (Left) for 48 hrs using GTX84453 GBE1 antibody [4D9].
Loading : 5 ug per lane

1 / 4
Anti-GBE1 antibody [4D9] used in Immunocytochemistry/ Immunofluorescence (ICC/IF). GTX84453
GTX84453 ICC/IF Image

ICC/IF analysis of COS7 cells transiently transfected with GBE1 plasmid using GTX84453 GBE1 antibody [4D9].

2 / 4
Anti-GBE1 antibody [4D9] used in Flow cytometry (FCM). GTX84453
GTX84453 FCM Image

FACS analysis of HeLa cells using GTX84453 GBE1 antibody [4D9].
Red : Primary antibody
Blue : Negative control antibody

3 / 4
Anti-GBE1 antibody [4D9] used in Immunoprecipitation (IP). GTX84453
GTX84453 IP Image

IP analysis of DDDDK tagged GBE1 overexpressed HEK293T lysate using GTX84453 GBE1 antibody [4D9].After extensive wash to remove any non-specific binding, the immuno-precipitated products were analyzed with rabbit anti-DDDDK polyclonal antibody.
IP reaction : 2μg antibody / 500μl cell lysate

4 / 4
Anti-GBE1 antibody [4D9] used in Western Blot (WB). GTX84453
Anti-GBE1 antibody [4D9] used in Immunocytochemistry/ Immunofluorescence (ICC/IF). GTX84453
Anti-GBE1 antibody [4D9] used in Flow cytometry (FCM). GTX84453
Anti-GBE1 antibody [4D9] used in Immunoprecipitation (IP). GTX84453
  • Host
    Mouse
  • Clonality
    Monoclonal
  • Clone Name
    4D9
  • Isotype
    IgG2a
  • Applications
    WB ICC/IF FCM IP
  • Reactivity
    Human
See all GBE1 products