GBP2 antibody [4E7]

Cat. No. GTX84442
Cat. No.  GTX84442
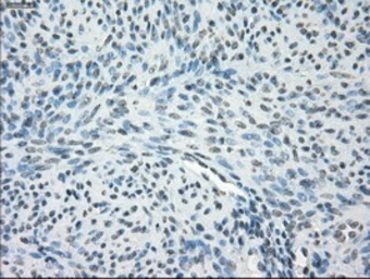
Anti-GBP2 antibody [4E7] used in IHC (Paraffin sections) (IHC-P). GTX84442
GTX84442 IHC-P Image

IHC-P analysis of human prostate tissue using GTX84442 GBP2 antibody [4E7].
Antigen retrieval : Heat-induced epitope retrieval by 10mM citrate buffer, pH6.0, 100ºC for 10min.

1 / 12
Anti-GBP2 antibody [4E7] used in Western Blot (WB). GTX84442
GTX84442 WB Image

WB analysis of various cell lines using GTX84442 GBP2 antibody [4E7].
Loading : 35 ug per lane
Dilution : 1:200

2 / 12
Anti-GBP2 antibody [4E7] used in Flow cytometry (FCM). GTX84442
GTX84442 FCM Image

FACS analysis of HEK293T cells transfected with either GBP2 plasmid(Red) or empty vector control plasmid(Blue) using GTX84442 GBP2 antibody [4E7].

3 / 12
Anti-GBP2 antibody [4E7] used in IHC (Paraffin sections) (IHC-P). GTX84442
GTX84442 IHC-P Image

IHC-P analysis of human bladder carcinoma tissue using GTX84442 GBP2 antibody [4E7].
Antigen retrieval : Heat-induced epitope retrieval by 10mM citrate buffer, pH6.0, 100ºC for 10min.

4 / 12
Anti-GBP2 antibody [4E7] used in IHC (Paraffin sections) (IHC-P). GTX84442
GTX84442 IHC-P Image

IHC-P analysis of human endometrium tissue using GTX84442 GBP2 antibody [4E7].
Antigen retrieval : Heat-induced epitope retrieval by 10mM citrate buffer, pH6.0, 100ºC for 10min.

5 / 12
Anti-GBP2 antibody [4E7] used in IHC (Paraffin sections) (IHC-P). GTX84442
GTX84442 IHC-P Image

IHC-P analysis of human pancreas tissue using GTX84442 GBP2 antibody [4E7].
Antigen retrieval : Heat-induced epitope retrieval by 10mM citrate buffer, pH6.0, 100ºC for 10min.

6 / 12
Anti-GBP2 antibody [4E7] used in IHC (Paraffin sections) (IHC-P). GTX84442
GTX84442 IHC-P Image

IHC-P analysis of human ovary tissue using GTX84442 GBP2 antibody [4E7].
Antigen retrieval : Heat-induced epitope retrieval by 10mM citrate buffer, pH6.0, 100ºC for 10min.

7 / 12
Anti-GBP2 antibody [4E7] used in IHC (Paraffin sections) (IHC-P). GTX84442
GTX84442 IHC-P Image

IHC-P analysis of human colon tissue using GTX84442 GBP2 antibody [4E7].
Antigen retrieval : Heat-induced epitope retrieval by 10mM citrate buffer, pH6.0, 100ºC for 10min.

8 / 12
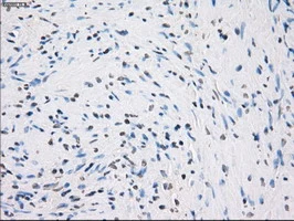
Anti-GBP2 antibody [4E7] used in IHC (Paraffin sections) (IHC-P). GTX84442
GTX84442 IHC-P Image

IHC-P analysis of human colon adenocarcinoma tissue using GTX84442 GBP2 antibody [4E7].
Antigen retrieval : Heat-induced epitope retrieval by 10mM citrate buffer, pH6.0, 100ºC for 10min.

9 / 12
Anti-GBP2 antibody [4E7] used in Western Blot (WB). GTX84442
GTX84442 WB Image

WB analysis of HEK293T cells transfected with GBP2 plasmid (Right) or empty vector (Left) for 48 hrs using GTX84442 GBP2 antibody [4E7].
Loading : 5 ug per lane

10 / 12
Anti-GBP2 antibody [4E7] used in IHC (Paraffin sections) (IHC-P). GTX84442
GTX84442 IHC-P Image

IHC-P analysis of human bladder tissue using GTX84442 GBP2 antibody [4E7].
Antigen retrieval : Heat-induced epitope retrieval by 10mM citrate buffer, pH6.0, 100ºC for 10min.

11 / 12
Anti-GBP2 antibody [4E7] used in Immunocytochemistry/ Immunofluorescence (ICC/IF). GTX84442
GTX84442 ICC/IF Image

ICC/IF analysis of COS7 cells transiently transfected with GBP2 plasmid using GTX84442 GBP2 antibody [4E7].

12 / 12
Anti-GBP2 antibody [4E7] used in IHC (Paraffin sections) (IHC-P). GTX84442
Anti-GBP2 antibody [4E7] used in Western Blot (WB). GTX84442
Anti-GBP2 antibody [4E7] used in Flow cytometry (FCM). GTX84442
Anti-GBP2 antibody [4E7] used in IHC (Paraffin sections) (IHC-P). GTX84442
Anti-GBP2 antibody [4E7] used in IHC (Paraffin sections) (IHC-P). GTX84442
Anti-GBP2 antibody [4E7] used in IHC (Paraffin sections) (IHC-P). GTX84442
Anti-GBP2 antibody [4E7] used in IHC (Paraffin sections) (IHC-P). GTX84442
Anti-GBP2 antibody [4E7] used in IHC (Paraffin sections) (IHC-P). GTX84442
Anti-GBP2 antibody [4E7] used in IHC (Paraffin sections) (IHC-P). GTX84442
Anti-GBP2 antibody [4E7] used in Western Blot (WB). GTX84442
Anti-GBP2 antibody [4E7] used in IHC (Paraffin sections) (IHC-P). GTX84442
Anti-GBP2 antibody [4E7] used in Immunocytochemistry/ Immunofluorescence (ICC/IF). GTX84442
  • Host
    Mouse
  • Clonality
    Monoclonal
  • Clone Name
    4E7
  • Isotype
    IgG1
  • Applications
    WB ICC/IF IHC-P FCM
  • Reactivity
    Human
See all GBP2 products