GBP5 antibody [N3C3]

Cat. No. GTX118635
Cat. No.  GTX118635
Anti-GBP5 antibody [N3C3] used in Western Blot (WB). GTX118635
GTX118635 WB Image

Untreated (–) and treated (+) THP-1 whole cell extracts (30 μg) were separated by 7.5% SDS-PAGE, and the membrane was blotted with GBP5 antibody [N3C3] (GTX118635) diluted at 1:500. The HRP-conjugated anti-rabbit IgG antibody (GTX213110-01) was used to detect the primary antibody, and the signal was developed with Trident ECL plus-Enhanced.

1 / 2
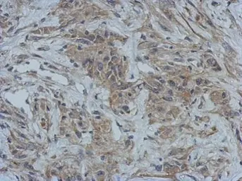
Anti-GBP5 antibody [N3C3] used in IHC (Paraffin sections) (IHC-P). GTX118635
GTX118635 IHC-P Image

Immunohistochemical analysis of paraffin-embedded U373 xenograft, using GBP5(GTX118635) antibody at 1:500 dilution.
Antigen Retrieval: Trilogy™ (EDTA based, pH 8.0) buffer, 15min

2 / 2
Anti-GBP5 antibody [N3C3] used in Western Blot (WB). GTX118635
Anti-GBP5 antibody [N3C3] used in IHC (Paraffin sections) (IHC-P). GTX118635
  • Host
    Rabbit
  • Clonality
    Polyclonal
  • Isotype
    IgG
  • Applications
    WB IHC-P
  • Reactivity
    Human
See all GBP5 products