GCHFR antibody

Cat. No. GTX87369
Cat. No.  GTX87369
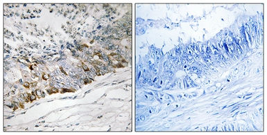
Anti-GCHFR antibody used in IHC (Paraffin sections) (IHC-P). GTX87369
GTX87369 IHC-P Image

IHC-P analysis of human colon carcinoma tissue using GTX87369 GCHFR antibody. The picture on the right is blocked with the synthesized peptide.

1 / 1
Anti-GCHFR antibody used in IHC (Paraffin sections) (IHC-P). GTX87369
  • Host
    Rabbit
  • Clonality
    Polyclonal
  • Isotype
    IgG
  • Applications
    IHC-P
  • Reactivity
    Human
See all GCHFR products