GFP antibody [4B10B2]

Cat. No. GTX83292
Cat. No.  GTX83292
Anti-GFP antibody [4B10B2] used in Flow cytometry (FCM). GTX83292
GTX83292 FCM Image

FACS analysis of HCC827 cells using GTX83292 GFP antibody [4B10B2].
Blue : untransfected
Green : transfected with GFP

1 / 4
Anti-GFP antibody [4B10B2] used in Western Blot (WB). GTX83292
GTX83292 WB Image

WB analysis of recombinant GFP protein (1) and various recombinant fusion protein with GFP tag (2, 3, 4) using GTX83292 GFP antibody [4B10B2].

2 / 4
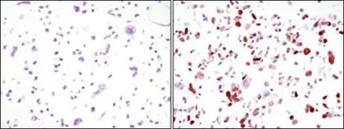
Anti-GFP antibody [4B10B2] used in Immunocytochemistry/ Immunofluorescence (ICC/IF). GTX83292
GTX83292 ICC/IF Image

ICC/IF analysis of HCC827 cells, untransfected (left) or transfected with GFP (right) using GTX83292 GFP antibody [4B10B2].

3 / 4
Anti-GFP antibody [4B10B2] used in Western Blot (WB). GTX83292
GTX83292 WB Image

WB analysis of extracts from HCC827 cells, untransfected (1) and transfected with GFP(2) using GTX83292 GFP antibody [4B10B2].

4 / 4
Anti-GFP antibody [4B10B2] used in Flow cytometry (FCM). GTX83292
Anti-GFP antibody [4B10B2] used in Western Blot (WB). GTX83292
Anti-GFP antibody [4B10B2] used in Immunocytochemistry/ Immunofluorescence (ICC/IF). GTX83292
Anti-GFP antibody [4B10B2] used in Western Blot (WB). GTX83292
  • Host
    Mouse
  • Clonality
    Monoclonal
  • Clone Name
    4B10B2
  • Isotype
    IgG2a
  • Applications
    WB ICC/IF FCM ELISA
  • Reactivity
    Species independent
See all GFP products