GGTLA4 antibody, C-term

Cat. No. GTX47132
Cat. No.  GTX47132
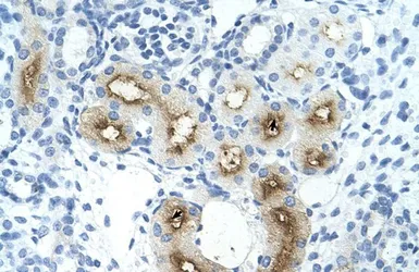
Anti-GGTLA4 antibody, C-term used in IHC (Paraffin sections) (IHC-P). GTX47132
GTX47132 IHC-P Image

IHC-P analysis of human kidney tissue using GTX47132 GGTLA4 antibody at 4.0-8.0μg/ml.

1 / 2
Anti-GGTLA4 antibody, C-term used in Western Blot (WB). GTX47132
GTX47132 WB Image

WB analysis of human kidney tissue using GTX47132 GGTLA4 antibody at 5.0μg/ml.

2 / 2
Anti-GGTLA4 antibody, C-term used in IHC (Paraffin sections) (IHC-P). GTX47132
Anti-GGTLA4 antibody, C-term used in Western Blot (WB). GTX47132
  • Host
    Rabbit
  • Clonality
    Polyclonal
  • Isotype
    IgG
  • Applications
    WB IHC-P
  • Reactivity
    Human
See all GGTLA4 products