GIDRP88 antibody

Cat. No. GTX87836
Cat. No.  GTX87836
Anti-GIDRP88 antibody used in Western Blot (WB). GTX87836
GTX87836 WB Image

WB analysis of Jurkat and COS cell lysates using GTX87836 GIDRP88 antibody. The lane on the right is blocked with the synthesized peptide.

1 / 2
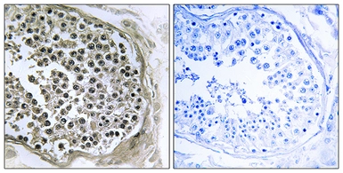
Anti-GIDRP88 antibody used in IHC (Paraffin sections) (IHC-P). GTX87836
GTX87836 IHC-P Image

IHC-P analysis of human testis tissue using GTX87836 GIDRP88 antibody. The picture on the right is blocked with the synthesized peptide.

2 / 2
Anti-GIDRP88 antibody used in Western Blot (WB). GTX87836
Anti-GIDRP88 antibody used in IHC (Paraffin sections) (IHC-P). GTX87836
  • Host
    Rabbit
  • Clonality
    Polyclonal
  • Isotype
    IgG
  • Applications
    WB IHC-P
  • Reactivity
    Human, Monkey
See all GIDRP88 products