GIPC2 antibody

Cat. No. GTX54083
Cat. No.  GTX54083
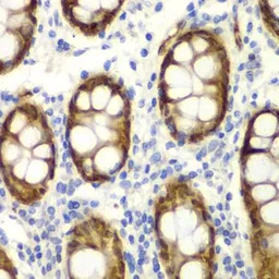
Anti-GIPC2 antibody used in IHC (Paraffin sections) (IHC-P). GTX54083
GTX54083 IHC-P Image

IHC-P analysis of human colon tissue using GTX54083 GIPC2 antibody.
Dilution : 1:100

1 / 2
Anti-GIPC2 antibody used in Western Blot (WB). GTX54083
GTX54083 WB Image

WB analysis of various sample lysates using GTX54083 GIPC2 antibody.
Dilution : 1:1000
Loading : 25μg per lane

2 / 2
Anti-GIPC2 antibody used in IHC (Paraffin sections) (IHC-P). GTX54083
Anti-GIPC2 antibody used in Western Blot (WB). GTX54083
  • Host
    Rabbit
  • Clonality
    Polyclonal
  • Isotype
    IgG
  • Applications
    WB IHC-P
  • Reactivity
    Human
See all GIPC2 products