GITR antibody [7C13]

Cat. No. GTX53155
Cat. No.  GTX53155
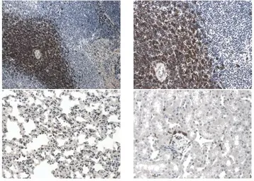
Anti-GITR antibody [7C13] used in IHC (Paraffin sections) (IHC-P). GTX53155
GTX53155 IHC-P Image

IHC-P analysis of 4% PFA fixed spleen (upper panel), lung (lower panel, left) and kidney (lower panel, right) tissue sections from LPS exposed mouse using GTX53155 GITR antibody [7C13].

1 / 1
Anti-GITR antibody [7C13] used in IHC (Paraffin sections) (IHC-P). GTX53155
  • Host
    Rat
  • Clonality
    Monoclonal
  • Clone Name
    7C13
  • Isotype
    IgG2
  • Applications
    IHC-P FCM
  • Reactivity
    Mouse
See all GITR products