GLB1L3 antibody

Cat. No. GTX87152
Cat. No.  GTX87152
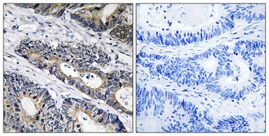
Anti-GLB1L3 antibody used in IHC (Paraffin sections) (IHC-P). GTX87152
GTX87152 IHC-P Image

IHC-P analysis of human colon carcinoma tissue using GTX87152 GLB1L3 antibody. The picture on the right is blocked with the synthesized peptide.

1 / 1
Anti-GLB1L3 antibody used in IHC (Paraffin sections) (IHC-P). GTX87152
  • Host
    Rabbit
  • Clonality
    Polyclonal
  • Isotype
    IgG
  • Applications
    IHC-P
  • Reactivity
    Human
See all GLB1L3 products