GLCNE antibody

Cat. No. GTX65984
Cat. No.  GTX65984
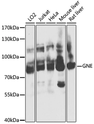
Anti-GLCNE antibody used in Western Blot (WB). GTX65984
GTX65984 WB Image

WB analysis of various sample lysates using GTX65984 GLCNE antibody.
Dilution : 1:1000
Loading : 25μg per lane

1 / 3
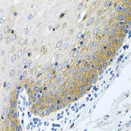
Anti-GLCNE antibody used in IHC (Paraffin sections) (IHC-P). GTX65984
GTX65984 IHC-P Image

IHC-P analysis of human esophagus tissue using GTX65984 GLCNE antibody.
Dilution : 1:100

2 / 3
Anti-GLCNE antibody used in IHC (Paraffin sections) (IHC-P). GTX65984
GTX65984 IHC-P Image

IHC-P analysis of mouse brain tissue using GTX65984 GLCNE antibody.
Dilution : 1:100

3 / 3
Anti-GLCNE antibody used in Western Blot (WB). GTX65984
Anti-GLCNE antibody used in IHC (Paraffin sections) (IHC-P). GTX65984
Anti-GLCNE antibody used in IHC (Paraffin sections) (IHC-P). GTX65984
  • Host
    Rabbit
  • Clonality
    Polyclonal
  • Isotype
    IgG
  • Applications
    WB IHC-P
  • Reactivity
    Human, Mouse, Rat
See all GLCNE products